CASES当院の治療例
症例を検索する
OPEN
-
10
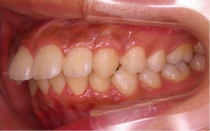
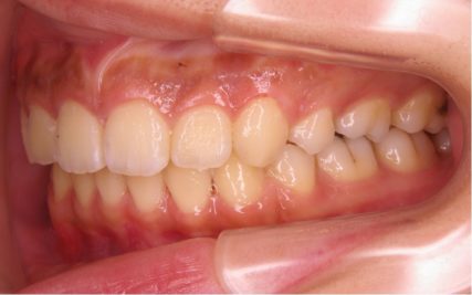
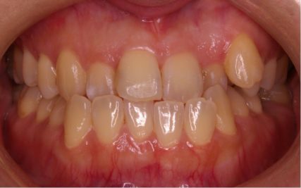
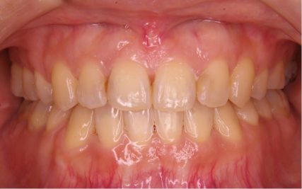
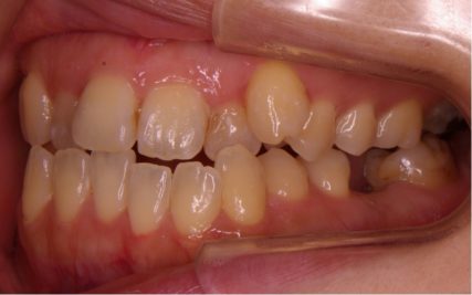
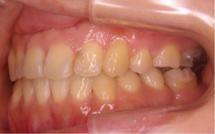
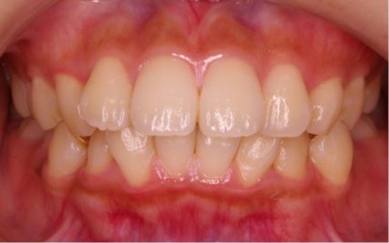
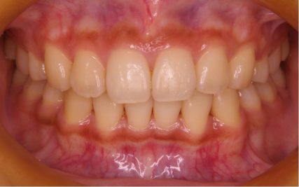
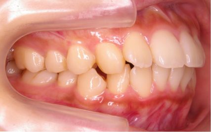
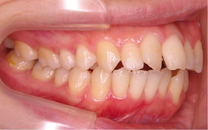
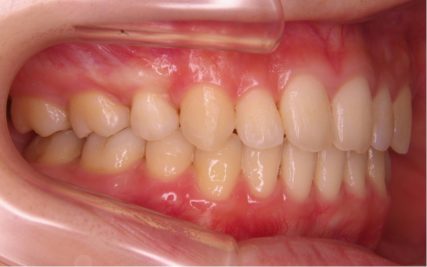
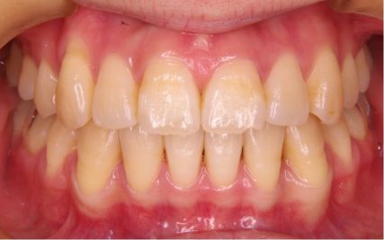
出っ歯/10代女性
CASES






- 主訴
- 出っ歯を治したい。
- 初診時年齢
- 16歳
- 診断名
- 不正咬合/上顎前突
- 治療前
- 口唇の突出と上下とも前歯のスペース不足。
- 治療プラン
- 上顎両側4番・下顎両側4番抜歯
- 使用装置
- マルチブラケット装置(セルフライゲーションブラケット)/歯科矯正用アンカースクリュー
- 治療後
- 口元も閉じやすくなり、正常咬合を獲得する事が出来た。Eラインも改善された。
- 治療期間
- 2年2か月
- 治療回数
- 26回
- 費用の目安
- 検査診断料 50,000
基本施術料 750,000
保定装置料 50,000
追加装置 歯科矯正用アンカースクリュー 40,000
セルフライゲーションブラケット+エステティックワイヤー(ご希望がない場合は不要)100,000
調整料 5,000 × 治療回数(月1回)
(税別/自費診療) - カテゴリー
- 出っ歯[上顎前突]/ 口ゴボ/ アンカースクリュー/ 未分類/
- タグ
- イーラインの変化/ 中高生/ 抜歯/
患者さんの状態はお一人お一人異なります。また治療内容によっても治療結果は異なります。
副作用・リスクとして、治療中の痛み・歯根吸収・歯肉退縮・治療後の後戻りなどが生じる可能性があります。詳細はこちらをご覧ください。
患者さんご本人の同意を得た写真を使用しております。無断転用は固くお断りいたします。
-
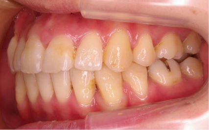
9
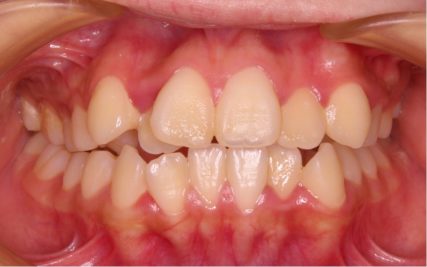
でこぼこ/30代女性
CASES






- 主訴
- 出ている歯をひっこめたい。
- 初診時年齢
- 33歳
- 診断名
- 不正咬合/叢生(でこぼこ)
- 治療前
- 下顎臼歯が1本欠損している。
- 治療プラン
- 上顎両側4番・下顎右側4番抜歯
- 使用装置
- マルチブラケット装置(セルフライゲーションブラケット)
- 治療後
- 前歯部のでこぼこが解消され、正常咬合を獲得する事が出来た。八重歯の犬歯も歯肉退縮を起こさず配列された。左下大臼歯の空隙閉鎖により補綴(詰め物)処置が不要になった事は、矯正治療のメリットだと考えられる。
- 治療期間
- 3年1か月
- 治療回数
- 37回
- 費用の目安
- 検査診断料 50,000
基本施術料 750,000
保定装置料 50,000
セルフライゲーションブラケット+エステティックワイヤー(ご希望がない場合は不要)100,000
調整料 5,000 × 治療回数(月1回)
(税別/自費診療) - カテゴリー
- でこぼこ[叢生]/ 未分類/
- タグ
- 18~39歳/ 抜歯/
患者さんの状態はお一人お一人異なります。また治療内容によっても治療結果は異なります。
副作用・リスクとして、治療中の痛み・歯根吸収・歯肉退縮・治療後の後戻りなどが生じる可能性があります。詳細はこちらをご覧ください。
患者さんご本人の同意を得た写真を使用しております。無断転用は固くお断りいたします。
-
8
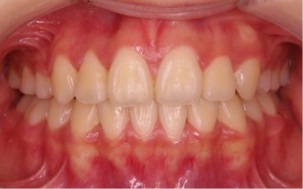
受け口/10代男性
CASES






- 主訴
- 下の歯が出ている。
- 初診時年齢
- 19歳
- 診断名
- 不正咬合/下顎前突
- 治療前
- 下顎左方偏位を伴う下顎前突症例。
- 治療プラン
- 上顎両側4番・下顎右側4番・下顎左側5番抜歯
- 使用装置
- マルチブラケット装置(セルフライゲーションブラケット)
- 治療後
- 受け口が改善された。
歯列が改善され、舌が置きやすい環境になった。舌の癖が再発しないように舌トレーニング(M.F.T.)を行っている。
前歯正中のズレはほぼ解消されたが、下顎の左方偏位は手術を行わないため変化はない。但し、この程度のズレであれば手術なしでも噛み合わせの改善は可能なので今回は矯正単独による治療を選択した。 - 治療期間
- 1年11か月
- 治療回数
- 23回
- 費用の目安
- 検査診断料 50,000
基本施術料 750,000
保定装置料 50,000
セルフライゲーションブラケット(ご希望がない場合は不要)100,000
調整料 5,000 × 治療回数(月1回)
(税別/自費診療) - カテゴリー
- 受け口[下顎前突]/ 下あごのズレ[下顎偏位]/ 未分類/
- タグ
- 18~39歳/ 抜歯/
患者さんの状態はお一人お一人異なります。また治療内容によっても治療結果は異なります。
副作用・リスクとして、治療中の痛み・歯根吸収・歯肉退縮・治療後の後戻りなどが生じる可能性があります。詳細はこちらをご覧ください。
患者さんご本人の同意を得た写真を使用しております。無断転用は固くお断りいたします。
-
7
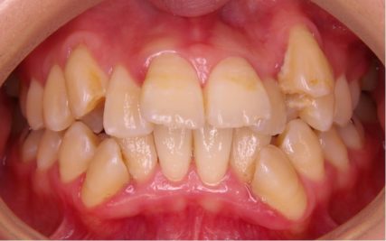
出っ歯・でこぼこ/20代女性
CASES






- 主訴
- 歯がガタガタ
- 初診時年齢
- 23歳
- 診断名
- 不正咬合/上顎前突
- 治療前
- 上下とも前歯のスペース不足。
- 治療プラン
- 上顎両側4番・下顎両側4番抜歯
- 使用装置
- マルチブラケット装置(セルフライゲーションブラケット)/歯科矯正用アンカースクリュー
- 治療後
- 前歯部のでこぼこが解消され、正常咬合を獲得する事が出来た。
ガミースマイルも初診時と比較すると改善された。 - 治療期間
- 2年
- 治療回数
- 24回
- 費用の目安
- 検査診断料 50,000
基本施術料 750,000
保定装置料 50,000
追加装置 歯科矯正用アンカースクリュー 40,000
セルフライゲーションブラケット(ご希望がない場合は不要)100,000
調整料 5,000 × 治療回数(月1回)
(税別/自費診療) - カテゴリー
- でこぼこ[叢生]/ 出っ歯[上顎前突]/ 口ゴボ/ ガミースマイル/ アンカースクリュー/ 未分類/
- タグ
- イーラインの変化/ 18~39歳/ 抜歯/
患者さんの状態はお一人お一人異なります。また治療内容によっても治療結果は異なります。
副作用・リスクとして、治療中の痛み・歯根吸収・歯肉退縮・治療後の後戻りなどが生じる可能性があります。詳細はこちらをご覧ください。
患者さんご本人の同意を得た写真を使用しております。無断転用は固くお断りいたします。
-
6
出っ歯・でこぼこ/20代女性
CASES






- 主訴
- 歯並び、かみ合わせを治したい。
- 初診時年齢
- 22歳
- 診断名
- 上顎前突
- 治療前
- 叢生を伴う上顎前突症例。口唇の突出も認められる。
- 治療プラン
- 上顎両側4番・上顎両側8番・下顎両側4番抜歯
- 使用装置
- マルチブラケット装置(ノーマルタイプ)/歯科矯正用アンカースクリュー
- 治療後
- 抜歯のご都合などで治療期間が長くなってしまったが、口元も閉じやすくなり正常咬合を獲得する事が出来た。
- 治療期間
- 3年10か月
- 治療回数
- 46回
- 費用の目安
- 検査診断料 50,000
基本施術料 750,000
保定装置料 50,000
追加装置 歯科矯正用アンカースクリュー 40,000
調整料 5,000 × 治療回数(月1回)
(税別/自費診療) - カテゴリー
- でこぼこ[叢生]/ 出っ歯[上顎前突]/ 口ゴボ/ アンカースクリュー/ 未分類/
- タグ
- イーラインの変化/ 18~39歳/ 抜歯/
患者さんの状態はお一人お一人異なります。また治療内容によっても治療結果は異なります。
副作用・リスクとして、治療中の痛み・歯根吸収・歯肉退縮・治療後の後戻りなどが生じる可能性があります。詳細はこちらをご覧ください。
患者さんご本人の同意を得た写真を使用しております。無断転用は固くお断りいたします。
-
5
でこぼこ/20代女性
CASES






- 主訴
- 歯並びを治したい。
- 初診時年齢
- 20歳
- 診断名
- 不正咬合/叢生(でこぼこ)
- 治療前
- 上下とも前歯のスペース不足が認められた。歯のサイズと顎の幅とのバランスが不調和な事が原因の1つとして考えられる。
- 治療プラン
- 上顎両側4番・下顎両側4番・下顎両側8番抜歯
- 使用装置
- マルチブラケット装置(セルフライゲーションブラケット)/歯科矯正用アンカースクリュー
- 治療後
- 前歯部のでこぼこが解消され、正常咬合を獲得する事が出来た。八重歯の犬歯も歯肉退縮を起こさず配列された。
- 治療期間
- 1年3か月
- 治療回数
- 15回
- 費用の目安
- 検査診断料 50,000
基本施術料 750,000
保定装置料 50,000
追加装置 歯科矯正用アンカースクリュー 40,000
セルフライゲーションブラケット+エステティックワイヤー(ご希望がない場合は不要)100,000
調整料 5,000 × 治療回数(月1回)
(税別/自費診療) - カテゴリー
- でこぼこ[叢生]/ 口ゴボ/ アンカースクリュー/ 未分類/
- タグ
- イーラインの変化/ 18~39歳/ 抜歯/
患者さんの状態はお一人お一人異なります。また治療内容によっても治療結果は異なります。
副作用・リスクとして、治療中の痛み・歯根吸収・歯肉退縮・治療後の後戻りなどが生じる可能性があります。詳細はこちらをご覧ください。
患者さんご本人の同意を得た写真を使用しております。無断転用は固くお断りいたします。
-
4
出っ歯/20代女性
CASES






- 主訴
- 歯並びを治したい。笑う時に歯茎が出るのを治したい。
- 初診時年齢
- 24歳
- 診断名
- 不正咬合/上顎前突
- 治療前
- ガミースマイルを伴う上顎前突症例。口唇の突出も認められる。
- 治療プラン
- 上顎右側6番・上顎左側4番・上顎左側8番・下顎両側5番・下顎左側8番抜歯
- 使用装置
- マルチブラケット装置(セルフライゲーションブラケット)/歯科矯正用アンカースクリュー
- 治療後
- 口元も閉じやすくなり、正常咬合を獲得する事が出来た。ガミースマイルも緩和された。
- 治療期間
- 3年
- 治療回数
- 36回
- 費用の目安
- 検査診断料 50,000
基本施術料 750,000
保定装置料 50,000
追加装置 歯科矯正用アンカースクリュー 40,000
セルフライゲーションブラケット+エステティックワイヤー(ご希望がない場合は不要)100,000
調整料 5,000 × 治療回数(月1回)
(税別/自費診療) - カテゴリー
- 出っ歯[上顎前突]/ 口ゴボ/ ガミースマイル/ アンカースクリュー/ 未分類/
- タグ
- イーラインの変化/ 18~39歳/ 抜歯/
患者さんの状態はお一人お一人異なります。また治療内容によっても治療結果は異なります。
副作用・リスクとして、治療中の痛み・歯根吸収・歯肉退縮・治療後の後戻りなどが生じる可能性があります。詳細はこちらをご覧ください。
患者さんご本人の同意を得た写真を使用しております。無断転用は固くお断りいたします。
-
3
出っ歯・でこぼこ/10代女性
CASES






- 主訴
- 矯正をしたい。
- 初診時年齢
- 18歳
- 診断名
- 不正咬合/上顎前突
- 治療前
- 上顎前突症例。口唇の突出も認められる。
- 治療プラン
- 上顎両側4番・下顎両側5番抜歯
- 使用装置
- マルチブラケット装置(セルフライゲーションブラケット)/歯科矯正用アンカースクリュー
- 治療後
- 口元も閉じやすくなり、正常咬合を獲得する事が出来た。口唇、舌の筋力トレーニングを継続中。
- 治療期間
- 2年5か月
- 治療回数
- 29回
- 費用の目安
- 検査診断料 50,000
基本施術料 750,000
保定装置料 50,000
追加装置 歯科矯正用アンカースクリュー 40,000
セルフライゲーションブラケット+エステティックワイヤー(ご希望がない場合は不要)100,000
調整料 5,000 × 治療回数(月1回)
(税別/自費診療) - カテゴリー
- でこぼこ[叢生]/ 出っ歯[上顎前突]/ 口ゴボ/ アンカースクリュー/ 未分類/
- タグ
- イーラインの変化/ 18~39歳/ 抜歯/
患者さんの状態はお一人お一人異なります。また治療内容によっても治療結果は異なります。
副作用・リスクとして、治療中の痛み・歯根吸収・歯肉退縮・治療後の後戻りなどが生じる可能性があります。詳細はこちらをご覧ください。
患者さんご本人の同意を得た写真を使用しております。無断転用は固くお断りいたします。
-
2
でこぼこ・過蓋咬合/20代女性
CASES






- 主訴
- 歯並びをキレイにしたい。
- 初診時年齢
- 24歳
- 診断名
- 不正咬合/叢生(でこぼこ)
- 治療前
- 叢生を伴う過蓋咬合症例。
- 治療プラン
- 上顎両側4番・上顎両側8番・下顎右側5番・下顎左側4番・下顎両側8番抜歯
- 使用装置
- マルチブラケット装置(セルフライゲーションブラケット)/ 歯科矯正用アンカースクリュー
- 治療後
- かみ合わせも浅くなり、前歯部のでこぼこも解消された。
- 治療期間
- 3年7か月
- 治療回数
- 43回
- 費用の目安
- 検査診断料 50,000
基本施術料 750,000
保定装置料 50,000
追加装置 歯科矯正用アンカースクリュー 40,000
セルフライゲーションブラケット+エステティックワイヤー(ご希望がない場合は不要)100,000
調整料 5,000 × 治療回数(月1回)
(税別/自費診療) - カテゴリー
- でこぼこ[叢生]/ 出っ歯[上顎前突]/ かみ合わせが深い[過蓋咬合]/ 口ゴボ/ アンカースクリュー/ 未分類/
- タグ
- イーラインの変化/ 18~39歳/ 抜歯/
患者さんの状態はお一人お一人異なります。また治療内容によっても治療結果は異なります。
副作用・リスクとして、治療中の痛み・歯根吸収・歯肉退縮・治療後の後戻りなどが生じる可能性があります。詳細はこちらをご覧ください。
患者さんご本人の同意を得た写真を使用しております。無断転用は固くお断りいたします。
-
1
出っ歯・でこぼこ/20代女性
CASES






- 主訴
- 歯の矯正をしたい。
- 初診時年齢
- 24歳
- 診断名
- 不正咬合/上顎前突
- 治療前
- でこぼこを伴う上顎前突症例。
- 治療プラン
- 上顎両側4番・上顎両側8番・下顎両側4番・下顎両側8番抜歯
- 使用装置
- マルチブラケット装置(ノーマルタイプ)/歯科矯正用アンカースクリュー
- 治療後
- 口唇の突出が改善し、正常咬合を獲得する事が出来た。歯科矯正用アンカースクリューを用いる事で抜歯スペースを有効に利用できた。
乱くい歯が改善されたことで口腔清掃状態も改善された。 - 治療期間
- 3年4か月
- 治療回数
- 40回
- 費用の目安
- 検査診断料 50,000
基本施術料 750,000
保定装置料 50,000
追加装置 歯科矯正用アンカースクリュー 40,000
調整料 5,000 × 治療回数(月1回)
(税別/自費診療) - カテゴリー
- でこぼこ[叢生]/ 出っ歯[上顎前突]/ 口ゴボ/ アンカースクリュー/ 未分類/
- タグ
- イーラインの変化/ 18~39歳/ 抜歯/
患者さんの状態はお一人お一人異なります。また治療内容によっても治療結果は異なります。
副作用・リスクとして、治療中の痛み・歯根吸収・歯肉退縮・治療後の後戻りなどが生じる可能性があります。詳細はこちらをご覧ください。
患者さんご本人の同意を得た写真を使用しております。無断転用は固くお断りいたします。