CASES当院の治療例
症例を検索する
OPEN
-
30
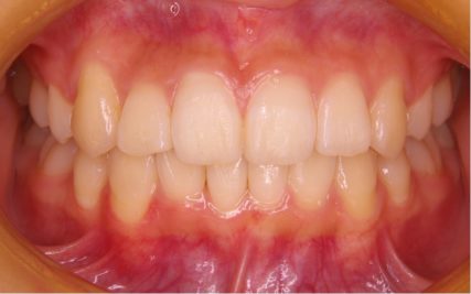
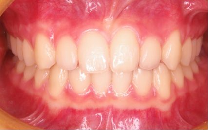
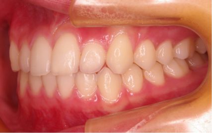
でこぼこ/10代女性
CASES






- 主訴
- 歯並びを治したい。
- 初診時年齢
- 12歳
- 診断名
- 不正咬合/叢生(でこぼこ)
- 治療前
- 上下とも犬歯のスペース不足が認められた。歯のサイズと顎の幅とのバランスが不調和な事が原因の1つとして考えられる。
- 治療プラン
- 上顎両側4番抜歯
- 使用装置
- マルチブラケット装置(セルフライゲーションブラケット)
- 治療後
- 前歯部のでこぼこが解消され、正常咬合を獲得する事が出来た。低位犬歯の歯ぐきの高さも隣の歯と合った。
- 治療期間
- 2年4か月
- 治療回数
- 28回
- 費用の目安
- 検査診断料 50,000
基本施術料 750,000
保定装置料 50,000
セルフライゲーションブラケット+エステティックワイヤー(ご希望がない場合は不要)100,000
調整料 5,000 × 治療回数(月1回)
(税別/自費診療) - カテゴリー
- でこぼこ[叢生]/ 未分類/
- タグ
- 中高生/ 抜歯/
患者さんの状態はお一人お一人異なります。また治療内容によっても治療結果は異なります。
副作用・リスクとして、治療中の痛み・歯根吸収・歯肉退縮・治療後の後戻りなどが生じる可能性があります。詳細はこちらをご覧ください。
患者さんご本人の同意を得た写真を使用しております。無断転用は固くお断りいたします。
-
29
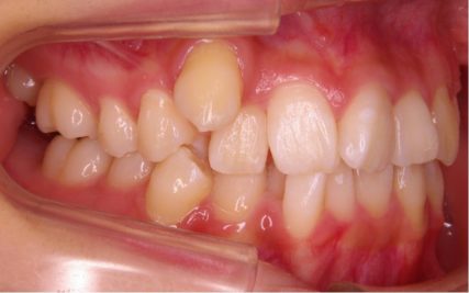
出っ歯/20代女性
CASES






- 主訴
- 歯並びをよくしたい。
- 初診時年齢
- 20歳
- 診断名
- 不正咬合/上顎前突
- 治療前
- 叢生を伴う上顎前突症例。口唇の突出も認められる。
- 治療プラン
- 上顎両側4番・下顎両側4番抜歯
- 使用装置
- マルチブラケット装置(セルフライゲーションブラケット)/歯科矯正用アンカースクリュー
- 治療後
- 口元も閉じやすくなり、正常咬合を獲得する事が出来た。歯科矯正用アンカースクリューを用いる事で口唇の突出が効果的に解消された。
- 治療期間
- 2年1か月
- 治療回数
- 25回
- 費用の目安
- 検査診断料 50,000
基本施術料 750,000
保定装置料 50,000
追加装置 歯科矯正用アンカースクリュー 40,000
セルフライゲーションブラケット+エステティックワイヤー(ご希望がない場合は不要)100,000
調整料 5,000 × 治療回数(月1回)
(税別/自費診療) - カテゴリー
- 出っ歯[上顎前突]/ 口ゴボ/ アンカースクリュー/ 未分類/
- タグ
- イーラインの変化/ 18~39歳/ 抜歯/
患者さんの状態はお一人お一人異なります。また治療内容によっても治療結果は異なります。
副作用・リスクとして、治療中の痛み・歯根吸収・歯肉退縮・治療後の後戻りなどが生じる可能性があります。詳細はこちらをご覧ください。
患者さんご本人の同意を得た写真を使用しております。無断転用は固くお断りいたします。
-
28
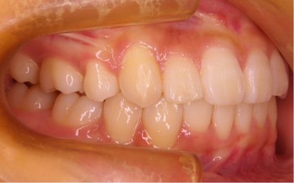
下顎骨右方偏位・でこぼこ/30代女性
CASES






- 主訴
- 歯列矯正を希望
- 初診時年齢
- 33歳
- 診断名
- 下顎骨右方偏位
- 治療前
- 正中のズレを伴う叢生症例。
- 治療プラン
- 上顎両側4番・下顎両側4番抜歯
- 使用装置
- マルチブラケット装置(セルフライゲーションブラケット)/歯科矯正用アンカースクリュー
- 治療後
- 正常咬合を獲得する事が出来た。 歯科矯正用アンカースクリューにより口元の突出感が緩和された。
- 治療期間
- 2年
- 治療回数
- 24回
- 費用の目安
- 検査診断料 50,000
基本施術料 750,000
保定装置料 50,000
追加装置 歯科矯正用アンカースクリュー 40,000
セルフライゲーションブラケット+エステティックワイヤー(ご希望がない場合は不要)100,000
調整料 5,000 × 治療回数(月1回)
(税別/自費診療) - カテゴリー
- でこぼこ[叢生]/ 下あごのズレ[下顎偏位]/ 口ゴボ/ アンカースクリュー/ 未分類/
- タグ
- イーラインの変化/ 18~39歳/ 抜歯/
患者さんの状態はお一人お一人異なります。また治療内容によっても治療結果は異なります。
副作用・リスクとして、治療中の痛み・歯根吸収・歯肉退縮・治療後の後戻りなどが生じる可能性があります。詳細はこちらをご覧ください。
患者さんご本人の同意を得た写真を使用しております。無断転用は固くお断りいたします。
-
27
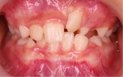
でこぼこ/10代女性
CASES






- 主訴
- 歯並びを治したい。
- 初診時年齢
- 19歳
- 診断名
- 不正咬合/叢生(でこぼこ)
- 治療前
- 上下とも前歯のスペース不足が認められた。歯のサイズと顎の幅とのバランスが不調和な事が原因の1つとして考えられる。
- 治療プラン
- 上顎両側4番・下顎両側5番抜歯
- 使用装置
- マルチブラケット装置(セルフライゲーションブラケット)/歯科矯正用アンカースクリュー
- 治療後
- 前歯部のでこぼこが解消され、正常咬合を獲得する事が出来た。又、歯科矯正用アンカースクリューを用いる事で抜歯スペースを有効に利用できた。
- 治療期間
- 1年11か月
- 治療回数
- 23回
- 費用の目安
- 検査診断料 50,000
基本施術料 750,000
保定装置料 50,000
追加装置 歯科矯正用アンカースクリュー 40,000
セルフライゲーションブラケット+エステティックワイヤー(ご希望がない場合は不要)100,000
調整料 5,000 × 治療回数(月1回)
(税別/自費診療) - カテゴリー
- でこぼこ[叢生]/ アンカースクリュー/ 未分類/
- タグ
- 18~39歳/ 抜歯/
患者さんの状態はお一人お一人異なります。また治療内容によっても治療結果は異なります。
副作用・リスクとして、治療中の痛み・歯根吸収・歯肉退縮・治療後の後戻りなどが生じる可能性があります。詳細はこちらをご覧ください。
患者さんご本人の同意を得た写真を使用しております。無断転用は固くお断りいたします。
-
26
出っ歯/10代女性
CASES






- 主訴
- 前歯が出ていてうまく口を閉じれない。
- 初診時年齢
- 13歳
- 診断名
- 不正咬合/上顎前突
- 治療前
- ガミースマイルを伴う上顎前突症例。口唇の突出も認められる。
- 治療プラン
- 上顎両側4番・下顎両側4番抜歯
- 使用装置
- マルチブラケット装置(ノーマルタイプ)/歯科矯正用アンカースクリュー
- 治療後
- 口元も閉じやすくなり、正常咬合を獲得する事が出来た。ガミースマイルも緩和され口唇の筋力トレーニングを継続中。
- 治療期間
- 2年4か月
- 治療回数
- 28回
- 費用の目安
- 検査診断料 50,000
基本施術料 750,000
保定装置料 50,000
追加装置 歯科矯正用アンカースクリュー 40,000
調整料 5,000 × 治療回数(月1回)
(税別/自費診療) - カテゴリー
- 出っ歯[上顎前突]/ ガミースマイル/ アンカースクリュー/ 未分類/
- タグ
- イーラインの変化/ 中高生/ 抜歯/
患者さんの状態はお一人お一人異なります。また治療内容によっても治療結果は異なります。
副作用・リスクとして、治療中の痛み・歯根吸収・歯肉退縮・治療後の後戻りなどが生じる可能性があります。詳細はこちらをご覧ください。
患者さんご本人の同意を得た写真を使用しております。無断転用は固くお断りいたします。
-
25
でこぼこ・過蓋咬合/20代男性
CASES






- 主訴
- 歯並びを治したい。
- 初診時年齢
- 22歳
- 診断名
- 不正咬合/叢生(でこぼこ)
- 治療前
- 叢生を伴う過蓋咬合症例。
- 治療プラン
- 上顎右側4番・上顎左側5番・下顎両側8番抜歯
より健康な歯を残す目的で、上顎の抜歯部位は詰め物(銀歯)の歯を抜歯した。 - 使用装置
- マルチブラケット装置(セルフライゲーションブラケット)/歯科矯正用アンカースクリュー
- 治療後
- かみ合わせも浅くなり、前歯部のでこぼこも解消された
- 治療期間
- 2年4か月
- 治療回数
- 28回
- 費用の目安
- 検査診断料 50,000
基本施術料 750,000
保定装置料 50,000
追加装置 歯科矯正用アンカースクリュー 40,000
セルフライゲーションブラケット+エステティックワイヤー(ご希望がない場合は不要)100,000
調整料 5,000 × 治療回数(月1回)
(税別/自費診療) - カテゴリー
- でこぼこ[叢生]/ かみ合わせが深い[過蓋咬合]/ アンカースクリュー/ 未分類/
- タグ
- 18~39歳/ 抜歯/
患者さんの状態はお一人お一人異なります。また治療内容によっても治療結果は異なります。
副作用・リスクとして、治療中の痛み・歯根吸収・歯肉退縮・治療後の後戻りなどが生じる可能性があります。詳細はこちらをご覧ください。
患者さんご本人の同意を得た写真を使用しております。無断転用は固くお断りいたします。
-
24
出っ歯・過蓋咬合/10代女性
CASES






- 主訴
- 歯の並びが気になる。
- 初診時年齢
- 16歳
- 診断名
- 不正咬合/過蓋咬合
- 治療前
- 下顎右側2番先天欠如し、叢生を伴う上顎前突症例。口唇の突出も認められる。
- 治療プラン
- 上顎両側4番・下顎左側5番抜歯
- 使用装置
- マルチブラケット装置(ノーマルタイプ)/歯科矯正用アンカースクリュー
- 治療後
- 下の前歯が1本欠損していたため、3本抜歯で上下顎の歯数を合わせる事で正常咬合を獲得する事が出来た。
- 治療期間
- 2年7か月
- 治療回数
- 31回
- 費用の目安
- 検査診断料 50,000
基本施術料 750,000
保定装置料 50,000
追加装置 歯科矯正用アンカースクリュー 40,000
調整料 5,000 × 治療回数(月1回)
(税別/自費診療) - カテゴリー
- 出っ歯[上顎前突]/ かみ合わせが深い[過蓋咬合]/ アンカースクリュー/ 未分類/
- タグ
- イーラインの変化/ 中高生/ 抜歯/
患者さんの状態はお一人お一人異なります。また治療内容によっても治療結果は異なります。
副作用・リスクとして、治療中の痛み・歯根吸収・歯肉退縮・治療後の後戻りなどが生じる可能性があります。詳細はこちらをご覧ください。
患者さんご本人の同意を得た写真を使用しております。無断転用は固くお断りいたします。
-
23
でこぼこ/10代女性
CASES






- 主訴
- 矯正治療希望
- 初診時年齢
- 14歳
- 診断名
- 不正咬合/叢生(でこぼこ)
- 治療前
- 上下とも前歯のスペース不足が認められた。歯のサイズと顎の幅とのバランスが不調和な事が原因の1つとして考えられる。
- 治療プラン
- 上顎両側4番・下顎両側5抜歯
- 使用装置
- マルチブラケット装置(セルフライゲーションブラケット)/歯科矯正用アンカースクリュー
- 治療後
- 前歯部のでこぼこが解消され、正常咬合を獲得する事が出来た。八重歯の右上犬歯も歯肉退縮を起こさず配列された。
- 治療期間
- 2年2か月
- 治療回数
- 26回
- 費用の目安
- 検査診断料 50,000
基本施術料 750,000
保定装置料 50,000
追加装置 歯科矯正用アンカースクリュー 40,000
セルフライゲーションブラケット+エステティックワイヤー(ご希望がない場合は不要)100,000
調整料 5,000 × 治療回数(月1回)
(税別/自費診療) - カテゴリー
- でこぼこ[叢生]/ アンカースクリュー/ 未分類/
- タグ
- 中高生/ 抜歯/
患者さんの状態はお一人お一人異なります。また治療内容によっても治療結果は異なります。
副作用・リスクとして、治療中の痛み・歯根吸収・歯肉退縮・治療後の後戻りなどが生じる可能性があります。詳細はこちらをご覧ください。
患者さんご本人の同意を得た写真を使用しております。無断転用は固くお断りいたします。
-
22
でこぼこ/10代女性
CASES






- 主訴
- 歯並びを治したい。
- 初診時年齢
- 14歳
- 診断名
- 不正咬合/叢生(でこぼこ)
- 治療前
- 上顎狭窄歯列を伴う叢生症例。
- 治療プラン
- 上顎拡大・非抜歯
- 使用装置
- マルチブラケット装置(ノーマルタイプ)/上あご拡大装置
- 治療後
- 持続的に弱い矯正力で配列する事で左上1番目の歯肉が退縮せず配列された。
- 治療期間
- 2年3か月
- 治療回数
- 27回
- 費用の目安
- 検査診断料 50,000
基本施術料 750,000
保定装置料 50,000
追加装置 上あご拡大装置 ¥20,000
調整料 5,000 × 治療回数(月1回)
(税別/自費診療) - カテゴリー
- でこぼこ[叢生]/ 未分類/
- タグ
- 中高生/ 非抜歯/
患者さんの状態はお一人お一人異なります。また治療内容によっても治療結果は異なります。
副作用・リスクとして、治療中の痛み・歯根吸収・歯肉退縮・治療後の後戻りなどが生じる可能性があります。詳細はこちらをご覧ください。
患者さんご本人の同意を得た写真を使用しております。無断転用は固くお断りいたします。
-
21
出っ歯・開咬/20代女性
CASES






- 主訴
- 出っ歯、歯並びをよくしたい。
- 初診時年齢
- 27歳
- 診断名
- 不正咬合/上顎前突
- 治療前
- 開咬を伴う上顎前突症例。
- 治療プラン
- 上顎両側4番・上顎両側8番・下顎両側4番・下顎左側8番抜歯
- 使用装置
- マルチブラケット装置(セルフライゲーションブラケット)/ 歯科矯正用アンカースクリュー
- 治療後
- 口唇の突出が改善し、正常咬合を獲得する事が出来た。オトガイ筋の過緊張も緩和され口が閉じやすくなった。
- 治療期間
- 3年1か月
- 治療回数
- 37回
- 費用の目安
- 検査診断料 50,000
基本施術料 750,000
保定装置料 50,000
追加装置 歯科矯正用アンカースクリュー 40,000
セルフライゲーションブラケット+エステティックワイヤー(ご希望がない場合は不要)100,000
調整料 5,000 × 治療回数(月1回)
(税別/自費診療) - カテゴリー
- 出っ歯[上顎前突]/ 前歯が閉じない[開咬]/ 口ゴボ/ アンカースクリュー/ 未分類/
- タグ
- イーラインの変化/ 18~39歳/ 抜歯/
患者さんの状態はお一人お一人異なります。また治療内容によっても治療結果は異なります。
副作用・リスクとして、治療中の痛み・歯根吸収・歯肉退縮・治療後の後戻りなどが生じる可能性があります。詳細はこちらをご覧ください。
患者さんご本人の同意を得た写真を使用しております。無断転用は固くお断りいたします。