CASES当院の治療例
検索条件
出っ歯[上顎前突] 41件
条件を変更する
OPEN
-
70
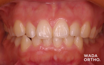
出っ歯/10代女性
CASES






- 主訴
- ガミースマイル、前歯の歯並び、なるべく最小限の抜歯数希望
- 初診時年齢
- 18歳
- 診断名
- 不正咬合/上顎前突
- 治療前
- 口唇の突出を伴う上顎前突症例。ガミースマイルも認められる。
- 治療プラン
- 上顎両側4番抜歯
- 使用装置
- マルチブラケット装置(セルフライゲーションブラケット)/歯科矯正用アンカースクリュー
- 治療後
- 最小限の抜歯数をご希望され、口唇の突出度も軽度であったため、上顎小臼歯2本の抜歯による治療を行った。ガミースマイルが改善され、かみ合わせの深さも改善することができた。
- 治療期間
- 2年1か月
- 治療回数
- 25回
- 費用の目安
- 検査診断料 50,000
基本施術料 750,000
保定装置料 50,000
追加装置 歯科矯正用アンカースクリュー 40,000
セルフライゲーションブラケット+エステティックワイヤー(ご希望がない場合は不要)100,000
調整料 5,000 × 治療回数(月1回)
(税別/自費診療) - カテゴリー
- でこぼこ[叢生]/ 出っ歯[上顎前突]/ 口ゴボ/ ガミースマイル/ アンカースクリュー/ 未分類/
- タグ
- イーラインの変化/ 18~39歳/ 抜歯/
患者さんの状態はお一人お一人異なります。また治療内容によっても治療結果は異なります。
副作用・リスクとして、治療中の痛み・歯根吸収・歯肉退縮・治療後の後戻りなどが生じる可能性があります。詳細はこちらをご覧ください。
患者さんご本人の同意を得た写真を使用しております。無断転用は固くお断りいたします。
-
69
出っ歯/20代女性
CASES






- 主訴
- 上あご前突、下あご前突、ガミースマイル、Eラインが欲しい。
- 初診時年齢
- 25歳
- 診断名
- 不正咬合/上下顎前突
- 治療前
- ガミースマイルを伴う上下顎前突症例。口唇の突出も認められる。
- 治療プラン
- 上顎両側4番・下顎両側4番抜歯
- 使用装置
- マルチブラケット装置(セルフライゲーションブラケット)/歯科矯正用アンカースクリュー
- 治療後
- 口元も閉じやすくなり、正常咬合を獲得する事が出来た。Eラインとガミースマイルも改善された。
- 治療期間
- 2年10か月
- 治療回数
- 34回
- 費用の目安
- 検査診断料 50,000
基本施術料 750,000
保定装置料 50,000
追加装置 歯科矯正用アンカースクリュー 40,000
セルフライゲーションブラケット+エステティックワイヤー(ご希望がない場合は不要)100,000
調整料 5,000 × 治療回数(月1回)
(税別/自費診療) - カテゴリー
- でこぼこ[叢生]/ 出っ歯[上顎前突]/ 口ゴボ/ ガミースマイル/ アンカースクリュー/ 未分類/
- タグ
- イーラインの変化/ 18~39歳/ 抜歯/
患者さんの状態はお一人お一人異なります。また治療内容によっても治療結果は異なります。
副作用・リスクとして、治療中の痛み・歯根吸収・歯肉退縮・治療後の後戻りなどが生じる可能性があります。詳細はこちらをご覧ください。
患者さんご本人の同意を得た写真を使用しております。無断転用は固くお断りいたします。
-
68
出っ歯・でこぼこ/30代女性
CASES






- 主訴
- 口ゴボ、口が閉じにくい、口呼吸を治したい、外科手術はしたくない。
- 初診時年齢
- 31歳
- 診断名
- 不正咬合/上顎前突
- 治療前
- ガミースマイルを伴う上顎前突症例。オトガイ筋の過緊張も認められる。
- 治療プラン
- 上顎両側4番・上顎両側8番・下顎両側4番・下顎両側8番抜歯
- 使用装置
- マルチブラケット装置(セルフライゲーションブラケット)/歯科矯正用アンカースクリュー
- 治療後
- 治療期間が長くなったが、正常咬合を獲得する事が出来た。
ガミースマイルが改善し、オトガイ筋の過緊張も緩和された。
- 治療期間
- 4年8ヶ月
- 治療回数
- 56回
- 費用の目安
- 検査診断料 50,000
基本施術料 750,000
保定装置料 50,000
追加装置 歯科矯正用アンカースクリュー 40,000
セルフライゲーションブラケット+エステティックワイヤー(ご希望がない場合は不要)100,000
調整料 5,000 × 治療回数(月1回)
(税別/自費診療) - カテゴリー
- でこぼこ[叢生]/ 出っ歯[上顎前突]/ 口ゴボ/ ガミースマイル/ アンカースクリュー/ 未分類/
- タグ
- イーラインの変化/ 18~39歳/ 抜歯/
患者さんの状態はお一人お一人異なります。また治療内容によっても治療結果は異なります。
副作用・リスクとして、治療中の痛み・歯根吸収・歯肉退縮・治療後の後戻りなどが生じる可能性があります。詳細はこちらをご覧ください。
患者さんご本人の同意を得た写真を使用しております。無断転用は固くお断りいたします。
-
64
出っ歯・でこぼこ/10代男性
CASES






- 主訴
- 歯並び
- 初診時年齢
- 17歳
- 診断名
- 不正咬合/上下顎前突
- 治療前
- 上下とも前歯のスペース不足。
- 治療プラン
- 上顎両側4番・下顎両側4番抜歯
- 使用装置
- マルチブラケット装置(セルフライゲーションブラケット)/歯科矯正用アンカースクリュー
- 治療後
- 前歯部のでこぼこが解消され、正常咬合を獲得する事が出来た。
- 治療期間
- 3年3か月
- 治療回数
- 39回
- 費用の目安
- 検査診断料 50,000
基本施術料 750,000
保定装置料 50,000
追加装置 歯科矯正用アンカースクリュー 40,000
セルフライゲーションブラケット+エステティックワイヤー(ご希望がない場合は不要)100,000
調整料 5,000 × 治療回数(月1回)
(税別/自費診療) - カテゴリー
- でこぼこ[叢生]/ 出っ歯[上顎前突]/ アンカースクリュー/
- タグ
- 中高生/ 抜歯/
患者さんの状態はお一人お一人異なります。また治療内容によっても治療結果は異なります。
副作用・リスクとして、治療中の痛み・歯根吸収・歯肉退縮・治療後の後戻りなどが生じる可能性があります。詳細はこちらをご覧ください。
患者さんご本人の同意を得た写真を使用しております。無断転用は固くお断りいたします。
-
63
出っ歯/20代女性
CASES






- 主訴
- 親知らずをどうするか、矯正の相談 なるべく最小限の抜歯数にしてほしい。
- 初診時年齢
- 22歳
- 診断名
- 不正咬合/上顎前突
- 治療前
- 叢生を伴う上顎前突症例。上顎左側7番に歯根吸収が認められる。
- 治療プラン
- 上顎両側4番・上顎右側8番・上顎左側7番・下顎両側4番抜歯
- 使用装置
- マルチブラケット装置(セルフライゲーションブラケット)/ 歯科矯正用アンカースクリュー
- 治療後
- 本症例では、歯根吸収した歯(上顎左側7番)を優先して抜歯する事で健康な歯がより多く残せた。
- 治療期間
- 2年7か月
- 治療回数
- 31回
- 費用の目安
- 検査診断料 50,000
基本施術料 750,000
保定装置料 50,000
追加装置 歯科矯正用アンカースクリュー 40,000
セルフライゲーションブラケット+エステティックワイヤー(ご希望がない場合は不要)100,000
調整料 5,000 × 治療回数(月1回)
(税別/自費診療) - カテゴリー
- でこぼこ[叢生]/ 出っ歯[上顎前突]/ アンカースクリュー/
- タグ
- 18~39歳/ 抜歯/
患者さんの状態はお一人お一人異なります。また治療内容によっても治療結果は異なります。
副作用・リスクとして、治療中の痛み・歯根吸収・歯肉退縮・治療後の後戻りなどが生じる可能性があります。詳細はこちらをご覧ください。
患者さんご本人の同意を得た写真を使用しております。無断転用は固くお断りいたします。
-
61
出っ歯・でこぼこ/40代女性
CASES






- 主訴
- 歯並び、出っ歯、偏頭痛、最小限の抜歯数にしてほしい。
- 初診時年齢
- 42歳
- 診断名
- 不正咬合/上顎前突
- 治療前
- 開咬を伴う上顎前突症例。
- 治療プラン
- 上顎両側4番・下顎両側4番抜歯
- 使用装置
- マルチブラケット装置(ノーマルタイプ)/歯科矯正用アンカースクリュー
- 治療後
- 歯科矯正用アンカースクリューを用いて上下奥歯を圧下することにより開咬が解消され、正常咬合を獲得する事が出来た。
- 治療期間
- 2年4か月
- 治療回数
- 28回
- 費用の目安
- 検査診断料 50,000
基本施術料 750,000
保定装置料 50,000
追加装置 歯科矯正用アンカースクリュー 40,000
調整料 5,000 × 治療回数(月1回)
(税別/自費診療) - カテゴリー
- でこぼこ[叢生]/ 出っ歯[上顎前突]/ 前歯が閉じない[開咬]/ アンカースクリュー/
- タグ
- 40歳~/ 抜歯/
患者さんの状態はお一人お一人異なります。また治療内容によっても治療結果は異なります。
副作用・リスクとして、治療中の痛み・歯根吸収・歯肉退縮・治療後の後戻りなどが生じる可能性があります。詳細はこちらをご覧ください。
患者さんご本人の同意を得た写真を使用しております。無断転用は固くお断りいたします。
-
60
出っ歯/20代女性
CASES






- 主訴
- ガミースマイル
- 初診時年齢
- 25歳
- 診断名
- 不正咬合/上顎前突
- 治療前
- 口唇の突出感とガミースマイルが認められる。
- 治療プラン
- 上顎両側4番・下顎右側5番・下顎左側4番抜歯
- 使用装置
- マルチブラケット装置(ノーマルタイプ)/歯科矯正用アンカースクリュー
- 治療後
- 口元も閉じやすくなり、正常咬合を獲得する事が出来た。ガミースマイルも緩和された。
- 治療期間
- 2年7か月
- 治療回数
- 31回
- 費用の目安
- 検査診断料 50,000
基本施術料 750,000
保定装置料 50,000
追加装置 歯科矯正用アンカースクリュー 40,000
調整料 5,000 × 治療回数(月1回)
(税別/自費診療) - カテゴリー
- 出っ歯[上顎前突]/ 口ゴボ/ ガミースマイル/ アンカースクリュー/
- タグ
- イーラインの変化/ 18~39歳/ 抜歯/
患者さんの状態はお一人お一人異なります。また治療内容によっても治療結果は異なります。
副作用・リスクとして、治療中の痛み・歯根吸収・歯肉退縮・治療後の後戻りなどが生じる可能性があります。詳細はこちらをご覧ください。
患者さんご本人の同意を得た写真を使用しております。無断転用は固くお断りいたします。
-
59
出っ歯/20代女性
CASES






- 主訴
- 口の突出
- 初診時年齢
- 25歳
- 診断名
- 不正咬合/上顎前突
- 治療前
- 口唇の突出を伴う上顎前突症例。オトガイ筋の過緊張が認められる。
- 治療プラン
- 上顎両側4番・上顎両側8番・下顎両側4番抜歯
- 使用装置
- マルチブラケット装置(ノーマルタイプ)/歯科矯正用アンカースクリュー
- 治療後
- 口唇の突出が改善され正常咬合を獲得する事が出来た。
- 治療期間
- 3年1か月
- 治療回数
- 37回
- 費用の目安
- 検査診断料 50,000
基本施術料 750,000
保定装置料 50,000
追加装置 歯科矯正用アンカースクリュー 40,000
調整料 5,000 × 治療回数(月1回)
(税別/自費診療) - カテゴリー
- 出っ歯[上顎前突]/ 口ゴボ/ アンカースクリュー/
- タグ
- イーラインの変化/ 18~39歳/ 抜歯/
患者さんの状態はお一人お一人異なります。また治療内容によっても治療結果は異なります。
副作用・リスクとして、治療中の痛み・歯根吸収・歯肉退縮・治療後の後戻りなどが生じる可能性があります。詳細はこちらをご覧ください。
患者さんご本人の同意を得た写真を使用しております。無断転用は固くお断りいたします。
-
58
出っ歯・でこぼこ/10代女性
CASES






- 主訴
- 上の歯が出ている。口ゴボを治したい。
- 初診時年齢
- 16歳
- 診断名
- 不正咬合/上顎前突
- 治療前
- 口唇の突出を伴う上顎前突症例。
- 治療プラン
- 上顎両側4番・上顎両側8番・下顎両側4番抜歯
- 使用装置
- マルチブラケット装置(セルフライゲーションブラケット)/歯科矯正用アンカースクリュー
- 治療後
- 口唇の突出が解消され正常咬合を獲得する事が出来た。歯科矯正用アンカースクリューを用いる事で、抜歯スペースを有効に利用できた。
- 治療期間
- 2年11か月
- 治療回数
- 35回
- 費用の目安
- 検査診断料 50,000
基本施術料 750,000
保定装置料 50,000
追加装置 歯科矯正用アンカースクリュー 40,000
セルフライゲーションブラケット+エステティックワイヤー(ご希望がない場合は不要)100,000
調整料 5,000 × 治療回数(月1回)
(税別/自費診療) - カテゴリー
- でこぼこ[叢生]/ 出っ歯[上顎前突]/ 口ゴボ/ アンカースクリュー/
- タグ
- イーラインの変化/ 中高生/ 抜歯/
患者さんの状態はお一人お一人異なります。また治療内容によっても治療結果は異なります。
副作用・リスクとして、治療中の痛み・歯根吸収・歯肉退縮・治療後の後戻りなどが生じる可能性があります。詳細はこちらをご覧ください。
患者さんご本人の同意を得た写真を使用しております。無断転用は固くお断りいたします。
-
57
出っ歯・でこぼこ/10代女性
CASES






- 主訴
- 歯並びが悪く、顔もゆがんでいる気がしたので改善したい。
- 初診時年齢
- 19歳
- 診断名
- 不正咬合/上顎前突
- 治療前
- 上下とも前歯のスペース不足。
- 治療プラン
- 上顎両側4番・下顎両側8番抜歯
- 使用装置
- マルチブラケット装置(セルフライゲーションブラケット)/歯科矯正用アンカースクリュー
- 治療後
- 抜歯のご都合などで治療期間が長くなってしまったが、前歯部のでこぼこが解消され、正常咬合を獲得する事が出来た。
- 治療期間
- 3年6か月
- 治療回数
- 42回
- 費用の目安
- 検査診断料 50,000
基本施術料 750,000
保定装置料 50,000
追加装置 歯科矯正用アンカースクリュー 40,000
セルフライゲーションブラケット+エステティックワイヤー(ご希望がない場合は不要)100,000
調整料 5,000 × 治療回数(月1回)
(税別/自費診療) - カテゴリー
- でこぼこ[叢生]/ 出っ歯[上顎前突]/ 口ゴボ/ アンカースクリュー/
- タグ
- イーラインの変化/ 18~39歳/ 抜歯/
患者さんの状態はお一人お一人異なります。また治療内容によっても治療結果は異なります。
副作用・リスクとして、治療中の痛み・歯根吸収・歯肉退縮・治療後の後戻りなどが生じる可能性があります。詳細はこちらをご覧ください。
患者さんご本人の同意を得た写真を使用しております。無断転用は固くお断りいたします。