CASES当院の治療例
検索条件
受け口[下顎前突] 6件
条件を変更する
OPEN
-
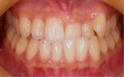
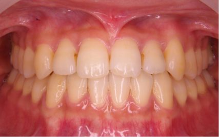
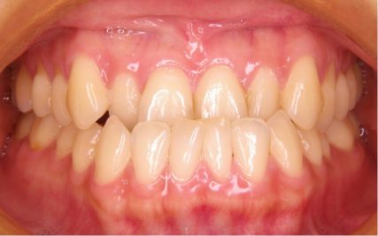
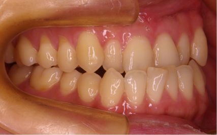
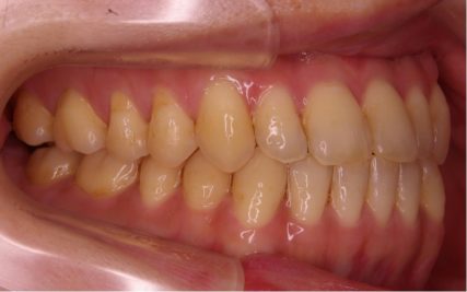
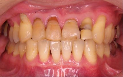
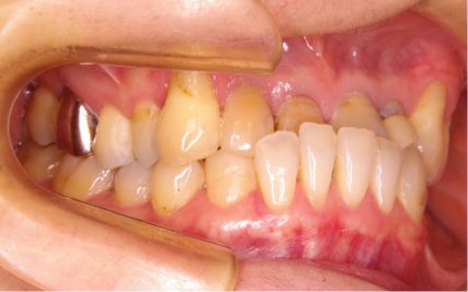
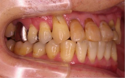
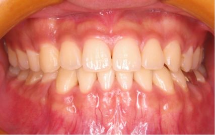
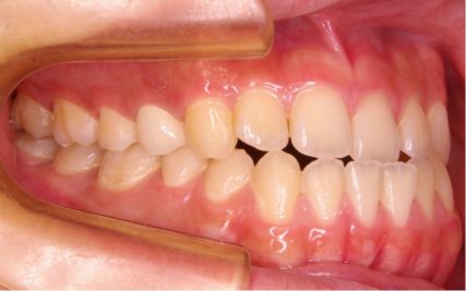
62
受け口/30代女性
CASES






- 主訴
- 奥歯が虫歯になっており、抜歯して親知らずを矯正してもらう治療を勧められた。
- 初診時年齢
- 33歳
- 診断名
- 不正咬合/反対咬合
- 治療前
- 叢生(でこぼこ)を伴う反対咬合症例。上顎左側7番、下顎左側7番が虫歯により予後不良歯だった。
- 治療プラン
- 上顎両側5番・上顎右側8番・上顎左側7番・下顎右側4番・下顎左側5番・下顎左側7番抜歯
- 使用装置
- マルチブラケット装置(セルフライゲーションブラケット)/歯科矯正用アンカースクリュー
- 治療後
- 前歯部のでこぼこが解消され、前歯の反対咬合も改善された。本症例では、予後不良歯(左側上下7番)を抜歯し、親知らず(左側上下8番)を代わりに配列した。難易度の高い治療なため治療期間が長くなってしまったが、より健康な歯を多く残すことができた。
- 治療期間
- 4年
- 治療回数
- 48回
- 費用の目安
- 検査診断料 50,000
基本施術料 750,000
保定装置料 50,000
追加装置 歯科矯正用アンカースクリュー 40,000
セルフライゲーションブラケット+エステティックワイヤー(ご希望がない場合は不要)100,000
調整料 5,000 × 治療回数(月1回)
(税別/自費診療) - カテゴリー
- でこぼこ[叢生]/ 受け口[下顎前突]/ アンカースクリュー/
- タグ
- 18~39歳/ 抜歯/
患者さんの状態はお一人お一人異なります。また治療内容によっても治療結果は異なります。
副作用・リスクとして、治療中の痛み・歯根吸収・歯肉退縮・治療後の後戻りなどが生じる可能性があります。詳細はこちらをご覧ください。
患者さんご本人の同意を得た写真を使用しております。無断転用は固くお断りいたします。
-
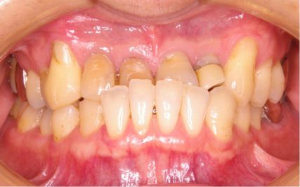
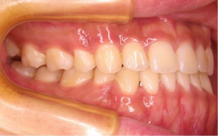
52
受け口/10代女性
CASES






- 主訴
- オペなしの矯正治療を希望
- 初診時年齢
- 18歳
- 診断名
- 不正咬合/下顎前突
- 治療前
- 下顎前方位を伴う反対咬合症例。
- 治療プラン
- 上顎両側8番・下顎両側8番抜歯
- 使用装置
- マルチブラケット装置(ノーマルタイプ)
- 治療後
- 手術なしの治療のため下顎骨前方位に変化はないが、前歯のかみ合わせを正常被蓋にすることで受け口が改善された。
- 治療期間
- 1年9か月
- 治療回数
- 21回
- 費用の目安
- 検査診断料 50,000
基本施術料 750,000
保定装置料 50,000
調整料 5,000 × 治療回数(月1回)
(税別/自費診療) - カテゴリー
- 受け口[下顎前突]/
- タグ
- 18~39歳/ 抜歯/
患者さんの状態はお一人お一人異なります。また治療内容によっても治療結果は異なります。
副作用・リスクとして、治療中の痛み・歯根吸収・歯肉退縮・治療後の後戻りなどが生じる可能性があります。詳細はこちらをご覧ください。
患者さんご本人の同意を得た写真を使用しております。無断転用は固くお断りいたします。
-
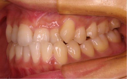
37
受け口/20代女性
CASES






- 主訴
- かみ合わせ、上の歯のでこぼこ、非抜歯を希望。
- 初診時年齢
- 27歳
- 診断名
- 不正咬合/反対咬合
- 治療前
- 下顎前方位を伴う反対咬合症例。
- 治療プラン
- 非抜歯
- 使用装置
- マルチブラケット装置(セルフライゲーションブラケット)/歯科矯正用アンカースクリュー
- 治療後
- 歯科矯正用アンカースクリューや取り外し装置の顎間ゴムを使用した事で非抜歯で受け口が改善された。
- 治療期間
- 1年1か月
- 治療回数
- 13回
- 費用の目安
- 検査診断料 50,000
基本施術料 750,000
保定装置料 50,000
追加装置 歯科矯正用アンカースクリュー 40,000
セルフライゲーションブラケット+エステティックワイヤー(ご希望がない場合は不要)100,000
調整料 5,000 × 治療回数(月1回)
(税別/自費診療) - カテゴリー
- 受け口[下顎前突]/ アンカースクリュー/ 未分類/
- タグ
- 18~39歳/ 非抜歯/
患者さんの状態はお一人お一人異なります。また治療内容によっても治療結果は異なります。
副作用・リスクとして、治療中の痛み・歯根吸収・歯肉退縮・治療後の後戻りなどが生じる可能性があります。詳細はこちらをご覧ください。
患者さんご本人の同意を得た写真を使用しております。無断転用は固くお断りいたします。
-
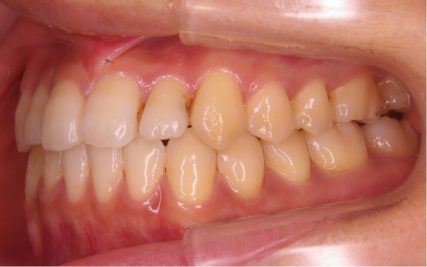
18
受け口/30代女性
CASES






- 主訴
- かみ合わせ、歯並び
- 初診時年齢
- 38歳
- 診断名
- 不正咬合/下顎前突
- 治療前
- 下あご前方位を伴う下顎前突症例。
- 治療プラン
- 非抜歯
- 使用装置
- マルチブラケット装置(セルフライゲーションブラケット)/歯科矯正用アンカースクリュー
- 治療後
- 受け口が改善された。
- 治療期間
- 2年3か月
- 治療回数
- 27回
- 費用の目安
- 検査診断料 50,000
基本施術料 750,000
保定装置料 50,000
追加装置 歯科矯正用アンカースクリュー 40,000
セルフライゲーションブラケット+エステティックワイヤー(ご希望がない場合は不要)100,000
調整料 5,000 × 治療回数(月1回)
(税別/自費診療) - カテゴリー
- 受け口[下顎前突]/ アンカースクリュー/ 未分類/
- タグ
- 18~39歳/ 非抜歯/
患者さんの状態はお一人お一人異なります。また治療内容によっても治療結果は異なります。
副作用・リスクとして、治療中の痛み・歯根吸収・歯肉退縮・治療後の後戻りなどが生じる可能性があります。詳細はこちらをご覧ください。
患者さんご本人の同意を得た写真を使用しております。無断転用は固くお断りいたします。
-
13
受け口/30代男性
CASES






- 主訴
- 噛み合わせを治したい。
- 初診時年齢
- 39歳
- 診断名
- 不正咬合/下顎前突
- 治療前
- 下顎前方位を伴う反対咬合症例。
- 治療プラン
- 非抜歯
- 使用装置
- マルチブラケット装置(セルフライゲーションブラケット)
- 治療後
- 取り外し装置の顎間ゴムを使用した事で非抜歯で受け口が改善された。
- 治療期間
- 2年10か月
- 治療回数
- 34回
- 費用の目安
- 検査診断料 50,000
基本施術料 750,000
保定装置料 50,000
追加装置 セルフライゲーションブラケット+エステティックワイヤー(ご希望がない場合は不要) 100,000
調整料 5,000 × 治療回数(月1回)
(税別/自費診療) - カテゴリー
- 受け口[下顎前突]/ 未分類/
- タグ
- イーラインの変化/ 18~39歳/ 非抜歯/
患者さんの状態はお一人お一人異なります。また治療内容によっても治療結果は異なります。
副作用・リスクとして、治療中の痛み・歯根吸収・歯肉退縮・治療後の後戻りなどが生じる可能性があります。詳細はこちらをご覧ください。
患者さんご本人の同意を得た写真を使用しております。無断転用は固くお断りいたします。
-
8
受け口/10代男性
CASES






- 主訴
- 下の歯が出ている。
- 初診時年齢
- 19歳
- 診断名
- 不正咬合/下顎前突
- 治療前
- 下顎左方偏位を伴う下顎前突症例。
- 治療プラン
- 上顎両側4番・下顎右側4番・下顎左側5番抜歯
- 使用装置
- マルチブラケット装置(セルフライゲーションブラケット)
- 治療後
- 受け口が改善された。
歯列が改善され、舌が置きやすい環境になった。舌の癖が再発しないように舌トレーニング(M.F.T.)を行っている。
前歯正中のズレはほぼ解消されたが、下顎の左方偏位は手術を行わないため変化はない。但し、この程度のズレであれば手術なしでも噛み合わせの改善は可能なので今回は矯正単独による治療を選択した。 - 治療期間
- 1年11か月
- 治療回数
- 23回
- 費用の目安
- 検査診断料 50,000
基本施術料 750,000
保定装置料 50,000
セルフライゲーションブラケット(ご希望がない場合は不要)100,000
調整料 5,000 × 治療回数(月1回)
(税別/自費診療) - カテゴリー
- 受け口[下顎前突]/ 下あごのズレ[下顎偏位]/ 未分類/
- タグ
- 18~39歳/ 抜歯/
患者さんの状態はお一人お一人異なります。また治療内容によっても治療結果は異なります。
副作用・リスクとして、治療中の痛み・歯根吸収・歯肉退縮・治療後の後戻りなどが生じる可能性があります。詳細はこちらをご覧ください。
患者さんご本人の同意を得た写真を使用しております。無断転用は固くお断りいたします。