CASES当院の治療例
症例を検索する
OPEN
-
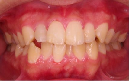
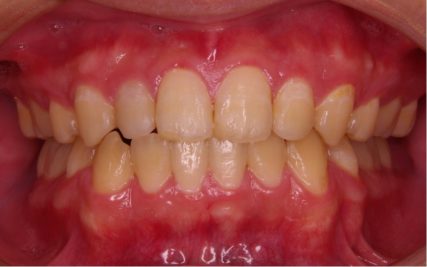
46
でこぼこ/10代男性
CASES






- 主訴
- 歯並びを治したい。
- 初診時年齢
- 15歳
- 診断名
- 不正咬合/叢生(でこぼこ)
- 治療前
- 口唇の突出を伴う叢生症例。オトガイ筋の過緊張が認められる。
- 治療プラン
- 上顎両側4番・下顎両側4番抜歯
- 使用装置
- マルチブラケット装置(セルフライゲーションブラケット)
- 治療後
- 口唇の突出が改善され正常咬合を獲得する事が出来た。
- 治療期間
- 1年11か月
- 治療回数
- 23回
- 費用の目安
- 検査診断料 50,000
基本施術料 750,000
保定装置料 50,000
セルフライゲーションブラケット+エステティックワイヤー(ご希望がない場合は不要) 100,000
調整料 5,000 × 治療回数(月1回)
(税別/自費診療) - カテゴリー
- でこぼこ[叢生]/ 口ゴボ/
- タグ
- イーラインの変化/ 中高生/ 抜歯/
患者さんの状態はお一人お一人異なります。また治療内容によっても治療結果は異なります。
副作用・リスクとして、治療中の痛み・歯根吸収・歯肉退縮・治療後の後戻りなどが生じる可能性があります。詳細はこちらをご覧ください。
患者さんご本人の同意を得た写真を使用しております。無断転用は固くお断りいたします。
-
45
出っ歯/20代女性
CASES






- 主訴
- 歯列を治したい。
- 初診時年齢
- 25歳
- 診断名
- 不正咬合/上顎前突
- 治療前
- 口唇の突出を伴う上顎前突症例。前歯にでこぼこが認められる。
- 治療プラン
- 上顎両側4番・下顎両側4番抜歯
- 使用装置
- マルチブラケット装置(セルフライゲーションブラケット)/歯科矯正用アンカースクリュー
- 治療後
- 口唇の突出が解消され正常咬合を獲得する事が出来た。歯科矯正用アンカースクリューを用いる事で、抜歯スペースを有効に利用できた。
- 治療期間
- 2年5か月
- 治療回数
- 29回
- 費用の目安
- 検査診断料 50,000
基本施術料 750,000
保定装置料 50,000
追加装置 歯科矯正用アンカースクリュー 40,000
セルフライゲーションブラケット+エステティックワイヤー(ご希望がない場合は不要)100,000
調整料 5,000 × 治療回数(月1回)
(税別/自費診療) - カテゴリー
- 出っ歯[上顎前突]/ 口ゴボ/ アンカースクリュー/
- タグ
- イーラインの変化/ 18~39歳/ 抜歯/
患者さんの状態はお一人お一人異なります。また治療内容によっても治療結果は異なります。
副作用・リスクとして、治療中の痛み・歯根吸収・歯肉退縮・治療後の後戻りなどが生じる可能性があります。詳細はこちらをご覧ください。
患者さんご本人の同意を得た写真を使用しております。無断転用は固くお断りいたします。
-
44
でこぼこ/30代女性
CASES






- 主訴
- 歯列を治したい。
- 初診時年齢
- 32歳
- 診断名
- 不正咬合/叢生(でこぼこ)
- 治療前
- 下唇の突出を伴う叢生症例。上顎両側5番が虫歯により予後不良歯だった。
- 治療プラン
- 上顎両側5番・下顎両側5番抜歯
- 使用装置
- マルチブラケット装置(セルフライゲーションブラケット)/歯科矯正用アンカースクリュー
- 治療後
- でこぼこが解消され正常咬合を獲得する事が出来た。本症例では、虫歯が進行した歯を優先して抜歯する事で健康な歯がより多く残せた。
- 治療期間
- 2年5か月
- 治療回数
- 29回
- 費用の目安
- 検査診断料 50,000
基本施術料 750,000
保定装置料 50,000
追加装置 歯科矯正用アンカースクリュー 40,000
セルフライゲーションブラケット+エステティックワイヤー(ご希望がない場合は不要)100,000
調整料 5,000 × 治療回数(月1回)
(税別/自費診療) - カテゴリー
- でこぼこ[叢生]/ アンカースクリュー/
- タグ
- イーラインの変化/ 18~39歳/ 抜歯/
患者さんの状態はお一人お一人異なります。また治療内容によっても治療結果は異なります。
副作用・リスクとして、治療中の痛み・歯根吸収・歯肉退縮・治療後の後戻りなどが生じる可能性があります。詳細はこちらをご覧ください。
患者さんご本人の同意を得た写真を使用しております。無断転用は固くお断りいたします。
-
43
出っ歯/20代男性
CASES






- 主訴
- 歯並びを治したい。
- 初診時年齢
- 20歳
- 診断名
- 不正咬合/上下顎前突
- 治療前
- 口唇の突出を伴う上下顎前突症例。初診時より前歯部に短根歯が認められた。
- 治療プラン
- 上顎両側4番・上顎両側8番・下顎両側4番・下顎両側8番抜歯
- 使用装置
- マルチブラケット装置(ノーマルタイプ)/歯科矯正用アンカースクリュー
- 治療後
- 口唇の突出が改善され正常咬合を獲得する事が出来た。前歯短根歯も初診時と変化は認められなかった。
- 治療期間
- 3年2か月
- 治療回数
- 38回
- 費用の目安
- 検査診断料 50,000
基本施術料 750,000
保定装置料 50,000
追加装置 歯科矯正用アンカースクリュー 40,000
調整料 5,000 × 治療回数(月1回)
(税別/自費診療) - カテゴリー
- 出っ歯[上顎前突]/ 口ゴボ/ アンカースクリュー/
- タグ
- イーラインの変化/ 18~39歳/ 抜歯/
患者さんの状態はお一人お一人異なります。また治療内容によっても治療結果は異なります。
副作用・リスクとして、治療中の痛み・歯根吸収・歯肉退縮・治療後の後戻りなどが生じる可能性があります。詳細はこちらをご覧ください。
患者さんご本人の同意を得た写真を使用しております。無断転用は固くお断りいたします。
-
42
出っ歯/10代女性
CASES






- 主訴
- 出ている上の歯を治したい。
- 初診時年齢
- 14歳
- 診断名
- 不正咬合/上顎前突
- 治療前
- 口唇の突出を伴う上顎前突症例。
- 治療プラン
- 上顎両側4番・下顎両側5番抜歯
- 使用装置
- マルチブラケット装置(セルフライゲーションブラケット)/歯科矯正用アンカースクリュー
- 治療後
- 口唇の突出が解消され正常咬合を獲得する事が出来た。
- 治療期間
- 2年11か月
- 治療回数
- 35回
- 費用の目安
- 検査診断料 50,000
基本施術料 750,000
保定装置料 50,000
追加装置 歯科矯正用アンカースクリュー 40,000
セルフライゲーションブラケット+エステティックワイヤー(ご希望がない場合は不要)100,000
調整料 5,000 × 治療回数(月1回)
(税別/自費診療) - カテゴリー
- 出っ歯[上顎前突]/ アンカースクリュー/ 未分類/
- タグ
- イーラインの変化/ 中高生/ 抜歯/
患者さんの状態はお一人お一人異なります。また治療内容によっても治療結果は異なります。
副作用・リスクとして、治療中の痛み・歯根吸収・歯肉退縮・治療後の後戻りなどが生じる可能性があります。詳細はこちらをご覧ください。
患者さんご本人の同意を得た写真を使用しております。無断転用は固くお断りいたします。
-
41
出っ歯・でこぼこ/10代女性
CASES






- 主訴
- 歯並びを治したい。
- 初診時年齢
- 18歳
- 診断名
- 不正咬合/叢生(でこぼこ)
- 治療前
- 笑った時にガミースマイルが認められた。口も閉じづらくお口周りの筋肉が過緊張していた。上顎前歯を上方へ圧下させ、ガミースマイルの改善を目標に治療プランを立てた。
- 治療プラン
- 上顎両側4番・下顎両側4番抜歯
- 使用装置
- マルチブラケット装置(セルフライゲーションブラケット)/歯科矯正用アンカースクリュー
- 治療後
- スマイル時の歯茎の露出度が減少し、ガミースマイルが改善された。口を閉じた時も口腔周囲筋の過緊張がなくなりスッキリした印象になった。
- 治療期間
- 2年1か月
- 治療回数
- 25回
- 費用の目安
- 検査診断料 50,000
基本施術料 750,000
保定装置料 50,000
追加装置 歯科矯正用アンカースクリュー 40,000
セルフライゲーションブラケット+エステティックワイヤー(ご希望がない場合は不要)100,000
調整料 5,000 × 治療回数(月1回)
(税別/自費診療) - カテゴリー
- でこぼこ[叢生]/ 出っ歯[上顎前突]/ ガミースマイル/ アンカースクリュー/ 未分類/
- タグ
- 18~39歳/ 抜歯/
患者さんの状態はお一人お一人異なります。また治療内容によっても治療結果は異なります。
副作用・リスクとして、治療中の痛み・歯根吸収・歯肉退縮・治療後の後戻りなどが生じる可能性があります。詳細はこちらをご覧ください。
患者さんご本人の同意を得た写真を使用しております。無断転用は固くお断りいたします。
-
40
出っ歯・でこぼこ/20代女性
CASES






- 主訴
- 歯並びを治したい。
- 初診時年齢
- 28歳
- 診断名
- 不正咬合/上顎前突
- 治療前
- 叢生を伴う上顎前突症例。下唇の突出感も認められる。
- 治療プラン
- 上顎両側4番・下顎両側4番抜歯
- 使用装置
- マルチブラケット装置(ノーマルタイプ)/歯科矯正用アンカースクリュー
- 治療後
- 叢生が解消され、正常咬合を獲得する事が出来た。歯科矯正用アンカースクリューを用いる事で抜歯スペースを有効に利用できた。歯根が長く治療期間が長くなってしまいましたが、きれいに仕上がった。
- 治療期間
- 3年1か月
- 治療回数
- 37回
- 費用の目安
- 検査診断料 50,000
基本施術料 750,000
保定装置料 50,000
追加装置 歯科矯正用アンカースクリュー 40,000
調整料 5,000 × 治療回数(月1回)
(税別/自費診療) - カテゴリー
- でこぼこ[叢生]/ 出っ歯[上顎前突]/ アンカースクリュー/ 未分類/
- タグ
- 18~39歳/ 抜歯/
患者さんの状態はお一人お一人異なります。また治療内容によっても治療結果は異なります。
副作用・リスクとして、治療中の痛み・歯根吸収・歯肉退縮・治療後の後戻りなどが生じる可能性があります。詳細はこちらをご覧ください。
患者さんご本人の同意を得た写真を使用しております。無断転用は固くお断りいたします。
-
39
出っ歯・でこぼこ/20代女性
CASES






- 主訴
- 歯並び、かみ合わせをきれいにしたい。
- 初診時年齢
- 24歳
- 診断名
- 不正咬合/上顎前突
- 治療前
- 口唇の突出を伴う上顎前突症例。下顎前歯に叢生(でこぼこ)も認められる。
- 治療プラン
- 上顎両側4番・下顎両側4番抜歯
- 使用装置
- マルチブラケット装置(セルフライゲーションブラケット)/ 歯科矯正用アンカースクリュー
- 治療後
- 口唇の突出が改善し、正常咬合を獲得する事が出来た。歯科矯正用アンカースクリューを用いる事で抜歯スペースを有効に利用できた。又、治療期間中に結婚式のため一旦装置撤去した。再開後も定期的に通院していただき、無事動的治療を終える事が出来た。
- 治療期間
- 2年2か月
- 治療回数
- 26回
- 費用の目安
- 検査診断料 50,000
基本施術料 750,000
保定装置料 50,000
追加装置 歯科矯正用アンカースクリュー 40,000
セルフライゲーションブラケット+エステティックワイヤー(ご希望がない場合は不要)100,000
調整料 5,000 × 治療回数(月1回)
(税別/自費診療) - カテゴリー
- でこぼこ[叢生]/ 出っ歯[上顎前突]/ アンカースクリュー/ 未分類/
- タグ
- イーラインの変化/ 18~39歳/ 抜歯/
患者さんの状態はお一人お一人異なります。また治療内容によっても治療結果は異なります。
副作用・リスクとして、治療中の痛み・歯根吸収・歯肉退縮・治療後の後戻りなどが生じる可能性があります。詳細はこちらをご覧ください。
患者さんご本人の同意を得た写真を使用しております。無断転用は固くお断りいたします。
-
38
出っ歯/10代男性
CASES






- 主訴
- 歯並びを治したい。
- 初診時年齢
- 19歳
- 診断名
- 不正咬合/上顎前突
- 治療前
- 口唇の突出を伴う上顎前突症例。上顎左側7番が予後不良歯、下顎両側8番(親知らず)が水平に埋伏している状態。
- 治療プラン
- 上顎両側4番・上顎右側8番・上顎左側7番・下顎両側4番・下顎両側8番抜歯
- 使用装置
- マルチブラケット装置(セルフライゲーションブラケット)/ 歯科矯正用アンカースクリュー
- 治療後
- 口唇の突出が改善し、正常咬合を獲得する事が出来た。歯科矯正用アンカースクリューを用いる事で抜歯スペースを有効に利用できた。
- 治療期間
- 3年5か月
- 治療回数
- 41回
- 費用の目安
- 検査診断料 50,000
基本施術料 750,000
保定装置料 50,000
追加装置 歯科矯正用アンカースクリュー 40,000
セルフライゲーションブラケット+エステティックワイヤー(ご希望がない場合は不要)100,000
調整料 5,000 × 治療回数(月1回)
(税別/自費診療) - カテゴリー
- 出っ歯[上顎前突]/ 口ゴボ/ アンカースクリュー/ 未分類/
- タグ
- イーラインの変化/ 18~39歳/ 抜歯/
患者さんの状態はお一人お一人異なります。また治療内容によっても治療結果は異なります。
副作用・リスクとして、治療中の痛み・歯根吸収・歯肉退縮・治療後の後戻りなどが生じる可能性があります。詳細はこちらをご覧ください。
患者さんご本人の同意を得た写真を使用しております。無断転用は固くお断りいたします。
-
37
受け口/20代女性
CASES






- 主訴
- かみ合わせ、上の歯のでこぼこ、非抜歯を希望。
- 初診時年齢
- 27歳
- 診断名
- 不正咬合/反対咬合
- 治療前
- 下顎前方位を伴う反対咬合症例。
- 治療プラン
- 非抜歯
- 使用装置
- マルチブラケット装置(セルフライゲーションブラケット)/歯科矯正用アンカースクリュー
- 治療後
- 歯科矯正用アンカースクリューや取り外し装置の顎間ゴムを使用した事で非抜歯で受け口が改善された。
- 治療期間
- 1年1か月
- 治療回数
- 13回
- 費用の目安
- 検査診断料 50,000
基本施術料 750,000
保定装置料 50,000
追加装置 歯科矯正用アンカースクリュー 40,000
セルフライゲーションブラケット+エステティックワイヤー(ご希望がない場合は不要)100,000
調整料 5,000 × 治療回数(月1回)
(税別/自費診療) - カテゴリー
- 受け口[下顎前突]/ アンカースクリュー/ 未分類/
- タグ
- 18~39歳/ 非抜歯/
患者さんの状態はお一人お一人異なります。また治療内容によっても治療結果は異なります。
副作用・リスクとして、治療中の痛み・歯根吸収・歯肉退縮・治療後の後戻りなどが生じる可能性があります。詳細はこちらをご覧ください。
患者さんご本人の同意を得た写真を使用しております。無断転用は固くお断りいたします。