CASES当院の治療例
検索条件
かみ合わせが深い[過蓋咬合] 4件
条件を変更する
OPEN
-
25
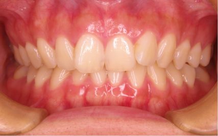
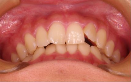
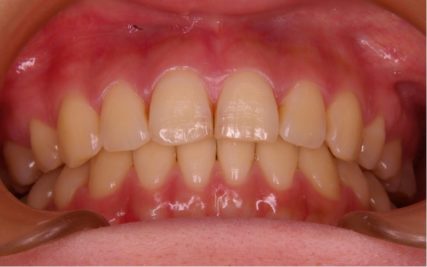
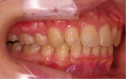
でこぼこ・過蓋咬合/20代男性
CASES






- 主訴
- 歯並びを治したい。
- 初診時年齢
- 22歳
- 診断名
- 不正咬合/叢生(でこぼこ)
- 治療前
- 叢生を伴う過蓋咬合症例。
- 治療プラン
- 上顎右側4番・上顎左側5番・下顎両側8番抜歯
より健康な歯を残す目的で、上顎の抜歯部位は詰め物(銀歯)の歯を抜歯した。 - 使用装置
- マルチブラケット装置(セルフライゲーションブラケット)/歯科矯正用アンカースクリュー
- 治療後
- かみ合わせも浅くなり、前歯部のでこぼこも解消された
- 治療期間
- 2年4か月
- 治療回数
- 28回
- 費用の目安
- 検査診断料 50,000
基本施術料 750,000
保定装置料 50,000
追加装置 歯科矯正用アンカースクリュー 40,000
セルフライゲーションブラケット+エステティックワイヤー(ご希望がない場合は不要)100,000
調整料 5,000 × 治療回数(月1回)
(税別/自費診療) - カテゴリー
- でこぼこ[叢生]/ かみ合わせが深い[過蓋咬合]/ アンカースクリュー/ 未分類/
- タグ
- 18~39歳/ 抜歯/
患者さんの状態はお一人お一人異なります。また治療内容によっても治療結果は異なります。
副作用・リスクとして、治療中の痛み・歯根吸収・歯肉退縮・治療後の後戻りなどが生じる可能性があります。詳細はこちらをご覧ください。
患者さんご本人の同意を得た写真を使用しております。無断転用は固くお断りいたします。
-
24
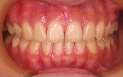
出っ歯・過蓋咬合/10代女性
CASES






- 主訴
- 歯の並びが気になる。
- 初診時年齢
- 16歳
- 診断名
- 不正咬合/過蓋咬合
- 治療前
- 下顎右側2番先天欠如し、叢生を伴う上顎前突症例。口唇の突出も認められる。
- 治療プラン
- 上顎両側4番・下顎左側5番抜歯
- 使用装置
- マルチブラケット装置(ノーマルタイプ)/歯科矯正用アンカースクリュー
- 治療後
- 下の前歯が1本欠損していたため、3本抜歯で上下顎の歯数を合わせる事で正常咬合を獲得する事が出来た。
- 治療期間
- 2年7か月
- 治療回数
- 31回
- 費用の目安
- 検査診断料 50,000
基本施術料 750,000
保定装置料 50,000
追加装置 歯科矯正用アンカースクリュー 40,000
調整料 5,000 × 治療回数(月1回)
(税別/自費診療) - カテゴリー
- 出っ歯[上顎前突]/ かみ合わせが深い[過蓋咬合]/ アンカースクリュー/ 未分類/
- タグ
- イーラインの変化/ 中高生/ 抜歯/
患者さんの状態はお一人お一人異なります。また治療内容によっても治療結果は異なります。
副作用・リスクとして、治療中の痛み・歯根吸収・歯肉退縮・治療後の後戻りなどが生じる可能性があります。詳細はこちらをご覧ください。
患者さんご本人の同意を得た写真を使用しております。無断転用は固くお断りいたします。
-
17
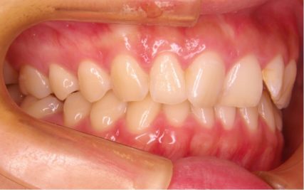
でこぼこ・過蓋咬合/10代女性
CASES






- 主訴
- 歯並びについて。
- 初診時年齢
- 18歳
- 診断名
- 不正咬合/過蓋咬合
- 治療前
- 叢生を伴う過蓋咬合
- 治療プラン
- 上顎両側4番抜歯
- 使用装置
- マルチブラケット装置(セルフライゲーションブラケット)/歯科矯正用アンカースクリュー
- 治療後
- 噛み合わせが浅くなり、前歯部のでこぼこも解消され正常な噛み合わせになった。
- 治療期間
- 2年1か月
- 治療回数
- 25回
- 費用の目安
- 検査診断料 50,000
基本施術料 750,000
保定装置料 50,000
追加装置 歯科矯正用アンカースクリュー 40,000
セルフライゲーションブラケット+エステティックワイヤー(ご希望がない場合は不要) 100,000
調整料 5,000 × 治療回数(月1回)
(税別/自費診療) - カテゴリー
- でこぼこ[叢生]/ かみ合わせが深い[過蓋咬合]/ アンカースクリュー/ 未分類/
- タグ
- 18~39歳/ 抜歯/
患者さんの状態はお一人お一人異なります。また治療内容によっても治療結果は異なります。
副作用・リスクとして、治療中の痛み・歯根吸収・歯肉退縮・治療後の後戻りなどが生じる可能性があります。詳細はこちらをご覧ください。
患者さんご本人の同意を得た写真を使用しております。無断転用は固くお断りいたします。
-
2
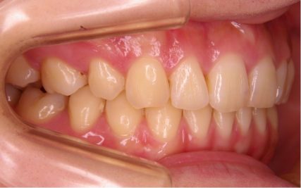
でこぼこ・過蓋咬合/20代女性
CASES






- 主訴
- 歯並びをキレイにしたい。
- 初診時年齢
- 24歳
- 診断名
- 不正咬合/叢生(でこぼこ)
- 治療前
- 叢生を伴う過蓋咬合症例。
- 治療プラン
- 上顎両側4番・上顎両側8番・下顎右側5番・下顎左側4番・下顎両側8番抜歯
- 使用装置
- マルチブラケット装置(セルフライゲーションブラケット)/ 歯科矯正用アンカースクリュー
- 治療後
- かみ合わせも浅くなり、前歯部のでこぼこも解消された。
- 治療期間
- 3年7か月
- 治療回数
- 43回
- 費用の目安
- 検査診断料 50,000
基本施術料 750,000
保定装置料 50,000
追加装置 歯科矯正用アンカースクリュー 40,000
セルフライゲーションブラケット+エステティックワイヤー(ご希望がない場合は不要)100,000
調整料 5,000 × 治療回数(月1回)
(税別/自費診療) - カテゴリー
- でこぼこ[叢生]/ 出っ歯[上顎前突]/ かみ合わせが深い[過蓋咬合]/ 口ゴボ/ アンカースクリュー/ 未分類/
- タグ
- イーラインの変化/ 18~39歳/ 抜歯/
患者さんの状態はお一人お一人異なります。また治療内容によっても治療結果は異なります。
副作用・リスクとして、治療中の痛み・歯根吸収・歯肉退縮・治療後の後戻りなどが生じる可能性があります。詳細はこちらをご覧ください。
患者さんご本人の同意を得た写真を使用しております。無断転用は固くお断りいたします。