CASES当院の治療例
検索条件
中高生 16件
条件を変更する
OPEN
-
64
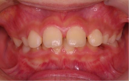
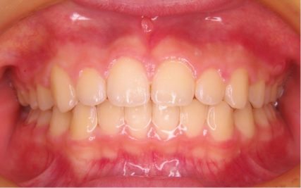
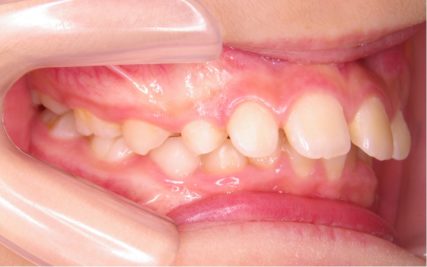
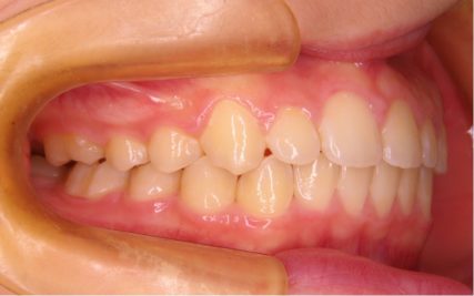
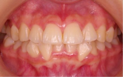
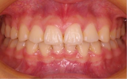
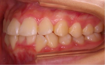
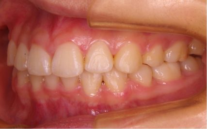
出っ歯・でこぼこ/10代男性
CASES






- 主訴
- 歯並び
- 初診時年齢
- 17歳
- 診断名
- 不正咬合/上下顎前突
- 治療前
- 上下とも前歯のスペース不足。
- 治療プラン
- 上顎両側4番・下顎両側4番抜歯
- 使用装置
- マルチブラケット装置(セルフライゲーションブラケット)/歯科矯正用アンカースクリュー
- 治療後
- 前歯部のでこぼこが解消され、正常咬合を獲得する事が出来た。
- 治療期間
- 3年3か月
- 治療回数
- 39回
- 費用の目安
- 検査診断料 50,000
基本施術料 750,000
保定装置料 50,000
追加装置 歯科矯正用アンカースクリュー 40,000
セルフライゲーションブラケット+エステティックワイヤー(ご希望がない場合は不要)100,000
調整料 5,000 × 治療回数(月1回)
(税別/自費診療) - カテゴリー
- でこぼこ[叢生]/ 出っ歯[上顎前突]/ アンカースクリュー/
- タグ
- 中高生/ 抜歯/
患者さんの状態はお一人お一人異なります。また治療内容によっても治療結果は異なります。
副作用・リスクとして、治療中の痛み・歯根吸収・歯肉退縮・治療後の後戻りなどが生じる可能性があります。詳細はこちらをご覧ください。
患者さんご本人の同意を得た写真を使用しております。無断転用は固くお断りいたします。
-
58
出っ歯・でこぼこ/10代女性
CASES






- 主訴
- 上の歯が出ている。口ゴボを治したい。
- 初診時年齢
- 16歳
- 診断名
- 不正咬合/上顎前突
- 治療前
- 口唇の突出を伴う上顎前突症例。
- 治療プラン
- 上顎両側4番・上顎両側8番・下顎両側4番抜歯
- 使用装置
- マルチブラケット装置(セルフライゲーションブラケット)/歯科矯正用アンカースクリュー
- 治療後
- 口唇の突出が解消され正常咬合を獲得する事が出来た。歯科矯正用アンカースクリューを用いる事で、抜歯スペースを有効に利用できた。
- 治療期間
- 2年11か月
- 治療回数
- 35回
- 費用の目安
- 検査診断料 50,000
基本施術料 750,000
保定装置料 50,000
追加装置 歯科矯正用アンカースクリュー 40,000
セルフライゲーションブラケット+エステティックワイヤー(ご希望がない場合は不要)100,000
調整料 5,000 × 治療回数(月1回)
(税別/自費診療) - カテゴリー
- でこぼこ[叢生]/ 出っ歯[上顎前突]/ 口ゴボ/ アンカースクリュー/
- タグ
- イーラインの変化/ 中高生/ 抜歯/
患者さんの状態はお一人お一人異なります。また治療内容によっても治療結果は異なります。
副作用・リスクとして、治療中の痛み・歯根吸収・歯肉退縮・治療後の後戻りなどが生じる可能性があります。詳細はこちらをご覧ください。
患者さんご本人の同意を得た写真を使用しております。無断転用は固くお断りいたします。
-
46
でこぼこ/10代男性
CASES






- 主訴
- 歯並びを治したい。
- 初診時年齢
- 15歳
- 診断名
- 不正咬合/叢生(でこぼこ)
- 治療前
- 口唇の突出を伴う叢生症例。オトガイ筋の過緊張が認められる。
- 治療プラン
- 上顎両側4番・下顎両側4番抜歯
- 使用装置
- マルチブラケット装置(セルフライゲーションブラケット)
- 治療後
- 口唇の突出が改善され正常咬合を獲得する事が出来た。
- 治療期間
- 1年11か月
- 治療回数
- 23回
- 費用の目安
- 検査診断料 50,000
基本施術料 750,000
保定装置料 50,000
セルフライゲーションブラケット+エステティックワイヤー(ご希望がない場合は不要) 100,000
調整料 5,000 × 治療回数(月1回)
(税別/自費診療) - カテゴリー
- でこぼこ[叢生]/ 口ゴボ/
- タグ
- イーラインの変化/ 中高生/ 抜歯/
患者さんの状態はお一人お一人異なります。また治療内容によっても治療結果は異なります。
副作用・リスクとして、治療中の痛み・歯根吸収・歯肉退縮・治療後の後戻りなどが生じる可能性があります。詳細はこちらをご覧ください。
患者さんご本人の同意を得た写真を使用しております。無断転用は固くお断りいたします。
-
42
出っ歯/10代女性
CASES






- 主訴
- 出ている上の歯を治したい。
- 初診時年齢
- 14歳
- 診断名
- 不正咬合/上顎前突
- 治療前
- 口唇の突出を伴う上顎前突症例。
- 治療プラン
- 上顎両側4番・下顎両側5番抜歯
- 使用装置
- マルチブラケット装置(セルフライゲーションブラケット)/歯科矯正用アンカースクリュー
- 治療後
- 口唇の突出が解消され正常咬合を獲得する事が出来た。
- 治療期間
- 2年11か月
- 治療回数
- 35回
- 費用の目安
- 検査診断料 50,000
基本施術料 750,000
保定装置料 50,000
追加装置 歯科矯正用アンカースクリュー 40,000
セルフライゲーションブラケット+エステティックワイヤー(ご希望がない場合は不要)100,000
調整料 5,000 × 治療回数(月1回)
(税別/自費診療) - カテゴリー
- 出っ歯[上顎前突]/ アンカースクリュー/ 未分類/
- タグ
- イーラインの変化/ 中高生/ 抜歯/
患者さんの状態はお一人お一人異なります。また治療内容によっても治療結果は異なります。
副作用・リスクとして、治療中の痛み・歯根吸収・歯肉退縮・治療後の後戻りなどが生じる可能性があります。詳細はこちらをご覧ください。
患者さんご本人の同意を得た写真を使用しております。無断転用は固くお断りいたします。
-
36
出っ歯/10代女性
CASES






- 主訴
- 前歯をくっつけたい。
- 初診時年齢
- 15歳
- 診断名
- 不正咬合/上顎前突
- 治療前
- 正中離開を伴う上顎前突症例。口唇の突出も認められる。
- 治療プラン
- 上顎両側4番・下顎両側4番抜歯
- 使用装置
- マルチブラケット装置(セルフライゲーションブラケット)/ 歯科矯正用アンカースクリュー
- 治療後
- 正中離開が改善され正常咬合を獲得する事が出来た。歯科矯正用アンカースクリューを用いる事で口唇の突出を効率的に解消された。
- 治療期間
- 2年1か月
- 治療回数
- 25回
- 費用の目安
- 検査診断料 50,000
基本施術料 750,000
保定装置料 50,000
追加装置 歯科矯正用アンカースクリュー 40,000
セルフライゲーションブラケット+エステティックワイヤー(ご希望がない場合は不要)100,000
調整料 5,000 × 治療回数(月1回)
(税別/自費診療) - カテゴリー
- 出っ歯[上顎前突]/ すきっ歯[空隙歯列]/ 口ゴボ/ アンカースクリュー/ 未分類/
- タグ
- イーラインの変化/ 中高生/ 抜歯/
患者さんの状態はお一人お一人異なります。また治療内容によっても治療結果は異なります。
副作用・リスクとして、治療中の痛み・歯根吸収・歯肉退縮・治療後の後戻りなどが生じる可能性があります。詳細はこちらをご覧ください。
患者さんご本人の同意を得た写真を使用しております。無断転用は固くお断りいたします。
-
35
出っ歯/10代女性
CASES






- 主訴
- 歯並びを治したい。
- 初診時年齢
- 15歳
- 診断名
- 不正咬合/上顎前突
- 治療前
- 口唇の突出を伴う上顎前突症例。上顎に正中離開(前歯スペース)が認められる。
- 治療プラン
- 非抜歯
- 使用装置
- マルチブラケット装置(セルフライゲーションブラケット)/ 歯科矯正用アンカースクリュー
- 治療後
- 口唇の突出が改善し、正常咬合を獲得する事が出来た。歯科矯正用アンカースクリューを用いる事で非抜歯で前突感も緩和された。
- 治療期間
- 1年5か月
- 治療回数
- 17回
- 費用の目安
- 検査診断料 50,000
基本施術料 750,000
保定装置料 50,000
追加装置 歯科矯正用アンカースクリュー 40,000
セルフライゲーションブラケット+エステティックワイヤー(ご希望がない場合は不要)100,000
調整料 5,000 × 治療回数(月1回)
(税別/自費診療) - カテゴリー
- 出っ歯[上顎前突]/ すきっ歯[空隙歯列]/ アンカースクリュー/ 未分類/
- タグ
- 中高生/ 非抜歯/
患者さんの状態はお一人お一人異なります。また治療内容によっても治療結果は異なります。
副作用・リスクとして、治療中の痛み・歯根吸収・歯肉退縮・治療後の後戻りなどが生じる可能性があります。詳細はこちらをご覧ください。
患者さんご本人の同意を得た写真を使用しております。無断転用は固くお断りいたします。
-
34
出っ歯/10代女性
CASES






- 主訴
- 歯並びをよくしたい。
- 初診時年齢
- 15歳
- 診断名
- 不正咬合/上顎前突
- 治療前
- 口唇の突出を伴う上顎前突症例。下顎前歯に叢生(でこぼこ)も認められる。
- 治療プラン
- 上顎両側4番・下顎両側4番抜歯
- 使用装置
- マルチブラケット装置(セルフライゲーションブラケット)
- 治療後
- ガミースマイルが改善し、正常咬合を獲得する事が出来た。下の前歯の裏側に固定器具を装着し歯列安定を図っている。
- 治療期間
- 1年11か月
- 治療回数
- 23回
- 費用の目安
- 検査診断料 50,000
基本施術料 750,000
保定装置料 50,000
セルフライゲーションブラケット(ご希望がない場合は不要)100,000
調整料 5,000 × 治療回数(月1回)
(税別/自費診療) - カテゴリー
- 出っ歯[上顎前突]/ ガミースマイル/ 未分類/
- タグ
- 中高生/ 抜歯/
患者さんの状態はお一人お一人異なります。また治療内容によっても治療結果は異なります。
副作用・リスクとして、治療中の痛み・歯根吸収・歯肉退縮・治療後の後戻りなどが生じる可能性があります。詳細はこちらをご覧ください。
患者さんご本人の同意を得た写真を使用しております。無断転用は固くお断りいたします。
-
31
出っ歯/10代女性
CASES






- 主訴
- 上の歯並び、口元をさげたい。
- 初診時年齢
- 15歳
- 診断名
- 不正咬合/上顎前突
- 治療前
- 叢生を伴う上顎前突症例。口唇の突出も認められる。
- 治療プラン
- 上顎両側4番抜歯
- 使用装置
- マルチブラケット装置(セルフライゲーションブラケット)/歯科矯正用アンカースクリュー
- 治療後
- 口元も閉じやすくなり、正常咬合を獲得する事が出来た。歯科矯正用アンカースクリューを用いる事で口唇の突出が効果的に解消された。
- 治療期間
- 2年
- 治療回数
- 24回
- 費用の目安
- 検査診断料 50,000
基本施術料 750,000
保定装置料 50,000
追加装置 歯科矯正用アンカースクリュー 40,000
セルフライゲーションブラケット+エステティックワイヤー(ご希望がない場合は不要)100,000
調整料 5,000 × 治療回数(月1回)
(税別/自費診療) - カテゴリー
- 出っ歯[上顎前突]/ アンカースクリュー/ 未分類/
- タグ
- 中高生/ 抜歯/
患者さんの状態はお一人お一人異なります。また治療内容によっても治療結果は異なります。
副作用・リスクとして、治療中の痛み・歯根吸収・歯肉退縮・治療後の後戻りなどが生じる可能性があります。詳細はこちらをご覧ください。
患者さんご本人の同意を得た写真を使用しております。無断転用は固くお断りいたします。
-
30
でこぼこ/10代女性
CASES






- 主訴
- 歯並びを治したい。
- 初診時年齢
- 12歳
- 診断名
- 不正咬合/叢生(でこぼこ)
- 治療前
- 上下とも犬歯のスペース不足が認められた。歯のサイズと顎の幅とのバランスが不調和な事が原因の1つとして考えられる。
- 治療プラン
- 上顎両側4番抜歯
- 使用装置
- マルチブラケット装置(セルフライゲーションブラケット)
- 治療後
- 前歯部のでこぼこが解消され、正常咬合を獲得する事が出来た。低位犬歯の歯ぐきの高さも隣の歯と合った。
- 治療期間
- 2年4か月
- 治療回数
- 28回
- 費用の目安
- 検査診断料 50,000
基本施術料 750,000
保定装置料 50,000
セルフライゲーションブラケット+エステティックワイヤー(ご希望がない場合は不要)100,000
調整料 5,000 × 治療回数(月1回)
(税別/自費診療) - カテゴリー
- でこぼこ[叢生]/ 未分類/
- タグ
- 中高生/ 抜歯/
患者さんの状態はお一人お一人異なります。また治療内容によっても治療結果は異なります。
副作用・リスクとして、治療中の痛み・歯根吸収・歯肉退縮・治療後の後戻りなどが生じる可能性があります。詳細はこちらをご覧ください。
患者さんご本人の同意を得た写真を使用しております。無断転用は固くお断りいたします。
-
26
出っ歯/10代女性
CASES






- 主訴
- 前歯が出ていてうまく口を閉じれない。
- 初診時年齢
- 13歳
- 診断名
- 不正咬合/上顎前突
- 治療前
- ガミースマイルを伴う上顎前突症例。口唇の突出も認められる。
- 治療プラン
- 上顎両側4番・下顎両側4番抜歯
- 使用装置
- マルチブラケット装置(ノーマルタイプ)/歯科矯正用アンカースクリュー
- 治療後
- 口元も閉じやすくなり、正常咬合を獲得する事が出来た。ガミースマイルも緩和され口唇の筋力トレーニングを継続中。
- 治療期間
- 2年4か月
- 治療回数
- 28回
- 費用の目安
- 検査診断料 50,000
基本施術料 750,000
保定装置料 50,000
追加装置 歯科矯正用アンカースクリュー 40,000
調整料 5,000 × 治療回数(月1回)
(税別/自費診療) - カテゴリー
- 出っ歯[上顎前突]/ ガミースマイル/ アンカースクリュー/ 未分類/
- タグ
- イーラインの変化/ 中高生/ 抜歯/
患者さんの状態はお一人お一人異なります。また治療内容によっても治療結果は異なります。
副作用・リスクとして、治療中の痛み・歯根吸収・歯肉退縮・治療後の後戻りなどが生じる可能性があります。詳細はこちらをご覧ください。
患者さんご本人の同意を得た写真を使用しております。無断転用は固くお断りいたします。