CASES当院の治療例
検索条件
未分類 45件
条件を変更する
OPEN
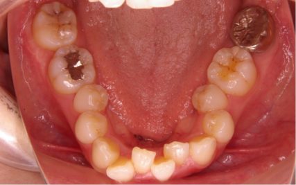
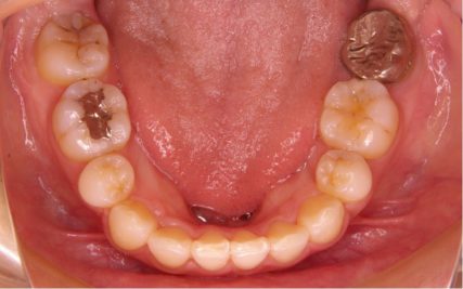
-
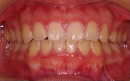
70
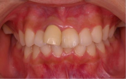
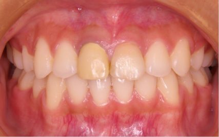
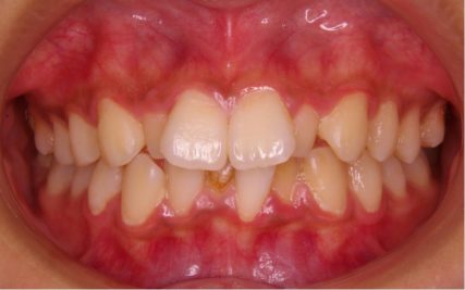
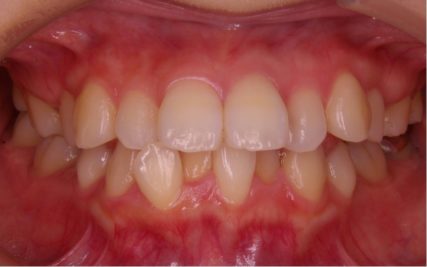
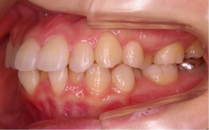
出っ歯/10代女性
CASES






- 主訴
- ガミースマイル、前歯の歯並び、なるべく最小限の抜歯数希望
- 初診時年齢
- 18歳
- 診断名
- 不正咬合/上顎前突
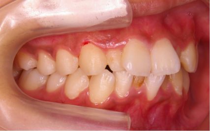
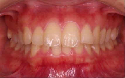
- 治療前
- 口唇の突出を伴う上顎前突症例。ガミースマイルも認められる。
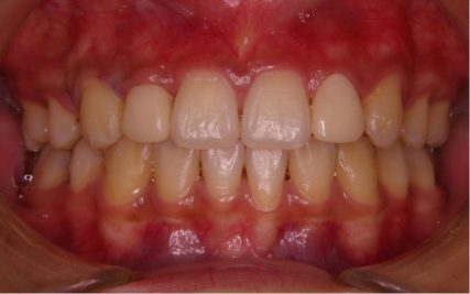
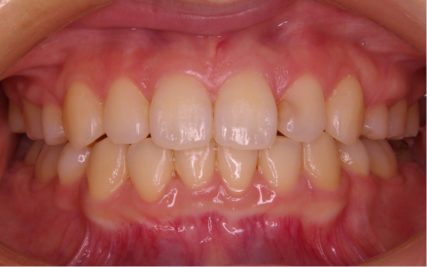
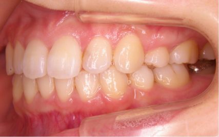
- 治療プラン
- 上顎両側4番抜歯
- 使用装置
- マルチブラケット装置(セルフライゲーションブラケット)/歯科矯正用アンカースクリュー
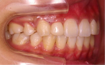
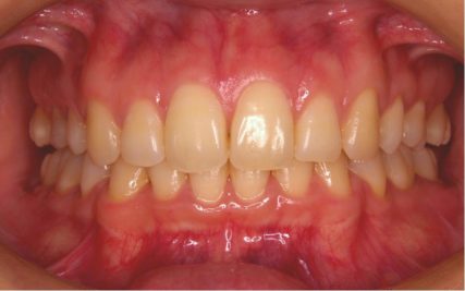
- 治療後
- 最小限の抜歯数をご希望され、口唇の突出度も軽度であったため、上顎小臼歯2本の抜歯による治療を行った。ガミースマイルが改善され、かみ合わせの深さも改善することができた。
- 治療期間
- 2年1か月
- 治療回数
- 25回
- 費用の目安
- 検査診断料 50,000
基本施術料 750,000
保定装置料 50,000
追加装置 歯科矯正用アンカースクリュー 40,000
セルフライゲーションブラケット+エステティックワイヤー(ご希望がない場合は不要)100,000
調整料 5,000 × 治療回数(月1回)
(税別/自費診療) - カテゴリー
- でこぼこ[叢生]/ 出っ歯[上顎前突]/ 口ゴボ/ ガミースマイル/ アンカースクリュー/ 未分類/
- タグ
- イーラインの変化/ 18~39歳/ 抜歯/
患者さんの状態はお一人お一人異なります。また治療内容によっても治療結果は異なります。
副作用・リスクとして、治療中の痛み・歯根吸収・歯肉退縮・治療後の後戻りなどが生じる可能性があります。詳細はこちらをご覧ください。
患者さんご本人の同意を得た写真を使用しております。無断転用は固くお断りいたします。
-
69
出っ歯/20代女性
CASES






- 主訴
- 上あご前突、下あご前突、ガミースマイル、Eラインが欲しい。
- 初診時年齢
- 25歳
- 診断名
- 不正咬合/上下顎前突
- 治療前
- ガミースマイルを伴う上下顎前突症例。口唇の突出も認められる。
- 治療プラン
- 上顎両側4番・下顎両側4番抜歯
- 使用装置
- マルチブラケット装置(セルフライゲーションブラケット)/歯科矯正用アンカースクリュー
- 治療後
- 口元も閉じやすくなり、正常咬合を獲得する事が出来た。Eラインとガミースマイルも改善された。
- 治療期間
- 2年10か月
- 治療回数
- 34回
- 費用の目安
- 検査診断料 50,000
基本施術料 750,000
保定装置料 50,000
追加装置 歯科矯正用アンカースクリュー 40,000
セルフライゲーションブラケット+エステティックワイヤー(ご希望がない場合は不要)100,000
調整料 5,000 × 治療回数(月1回)
(税別/自費診療) - カテゴリー
- でこぼこ[叢生]/ 出っ歯[上顎前突]/ 口ゴボ/ ガミースマイル/ アンカースクリュー/ 未分類/
- タグ
- イーラインの変化/ 18~39歳/ 抜歯/
患者さんの状態はお一人お一人異なります。また治療内容によっても治療結果は異なります。
副作用・リスクとして、治療中の痛み・歯根吸収・歯肉退縮・治療後の後戻りなどが生じる可能性があります。詳細はこちらをご覧ください。
患者さんご本人の同意を得た写真を使用しております。無断転用は固くお断りいたします。
-
68
出っ歯・でこぼこ/30代女性
CASES






- 主訴
- 口ゴボ、口が閉じにくい、口呼吸を治したい、外科手術はしたくない。
- 初診時年齢
- 31歳
- 診断名
- 不正咬合/上顎前突
- 治療前
- ガミースマイルを伴う上顎前突症例。オトガイ筋の過緊張も認められる。
- 治療プラン
- 上顎両側4番・上顎両側8番・下顎両側4番・下顎両側8番抜歯
- 使用装置
- マルチブラケット装置(セルフライゲーションブラケット)/歯科矯正用アンカースクリュー
- 治療後
- 治療期間が長くなったが、正常咬合を獲得する事が出来た。
ガミースマイルが改善し、オトガイ筋の過緊張も緩和された。
- 治療期間
- 4年8ヶ月
- 治療回数
- 56回
- 費用の目安
- 検査診断料 50,000
基本施術料 750,000
保定装置料 50,000
追加装置 歯科矯正用アンカースクリュー 40,000
セルフライゲーションブラケット+エステティックワイヤー(ご希望がない場合は不要)100,000
調整料 5,000 × 治療回数(月1回)
(税別/自費診療) - カテゴリー
- でこぼこ[叢生]/ 出っ歯[上顎前突]/ 口ゴボ/ ガミースマイル/ アンカースクリュー/ 未分類/
- タグ
- イーラインの変化/ 18~39歳/ 抜歯/
患者さんの状態はお一人お一人異なります。また治療内容によっても治療結果は異なります。
副作用・リスクとして、治療中の痛み・歯根吸収・歯肉退縮・治療後の後戻りなどが生じる可能性があります。詳細はこちらをご覧ください。
患者さんご本人の同意を得た写真を使用しております。無断転用は固くお断りいたします。
-
42
出っ歯/10代女性
CASES






- 主訴
- 出ている上の歯を治したい。
- 初診時年齢
- 14歳
- 診断名
- 不正咬合/上顎前突
- 治療前
- 口唇の突出を伴う上顎前突症例。
- 治療プラン
- 上顎両側4番・下顎両側5番抜歯
- 使用装置
- マルチブラケット装置(セルフライゲーションブラケット)/歯科矯正用アンカースクリュー
- 治療後
- 口唇の突出が解消され正常咬合を獲得する事が出来た。
- 治療期間
- 2年11か月
- 治療回数
- 35回
- 費用の目安
- 検査診断料 50,000
基本施術料 750,000
保定装置料 50,000
追加装置 歯科矯正用アンカースクリュー 40,000
セルフライゲーションブラケット+エステティックワイヤー(ご希望がない場合は不要)100,000
調整料 5,000 × 治療回数(月1回)
(税別/自費診療) - カテゴリー
- 出っ歯[上顎前突]/ アンカースクリュー/ 未分類/
- タグ
- イーラインの変化/ 中高生/ 抜歯/
患者さんの状態はお一人お一人異なります。また治療内容によっても治療結果は異なります。
副作用・リスクとして、治療中の痛み・歯根吸収・歯肉退縮・治療後の後戻りなどが生じる可能性があります。詳細はこちらをご覧ください。
患者さんご本人の同意を得た写真を使用しております。無断転用は固くお断りいたします。
-
41
出っ歯・でこぼこ/10代女性
CASES






- 主訴
- 歯並びを治したい。
- 初診時年齢
- 18歳
- 診断名
- 不正咬合/叢生(でこぼこ)
- 治療前
- 笑った時にガミースマイルが認められた。口も閉じづらくお口周りの筋肉が過緊張していた。上顎前歯を上方へ圧下させ、ガミースマイルの改善を目標に治療プランを立てた。
- 治療プラン
- 上顎両側4番・下顎両側4番抜歯
- 使用装置
- マルチブラケット装置(セルフライゲーションブラケット)/歯科矯正用アンカースクリュー
- 治療後
- スマイル時の歯茎の露出度が減少し、ガミースマイルが改善された。口を閉じた時も口腔周囲筋の過緊張がなくなりスッキリした印象になった。
- 治療期間
- 2年1か月
- 治療回数
- 25回
- 費用の目安
- 検査診断料 50,000
基本施術料 750,000
保定装置料 50,000
追加装置 歯科矯正用アンカースクリュー 40,000
セルフライゲーションブラケット+エステティックワイヤー(ご希望がない場合は不要)100,000
調整料 5,000 × 治療回数(月1回)
(税別/自費診療) - カテゴリー
- でこぼこ[叢生]/ 出っ歯[上顎前突]/ ガミースマイル/ アンカースクリュー/ 未分類/
- タグ
- 18~39歳/ 抜歯/
患者さんの状態はお一人お一人異なります。また治療内容によっても治療結果は異なります。
副作用・リスクとして、治療中の痛み・歯根吸収・歯肉退縮・治療後の後戻りなどが生じる可能性があります。詳細はこちらをご覧ください。
患者さんご本人の同意を得た写真を使用しております。無断転用は固くお断りいたします。
-
40
出っ歯・でこぼこ/20代女性
CASES






- 主訴
- 歯並びを治したい。
- 初診時年齢
- 28歳
- 診断名
- 不正咬合/上顎前突
- 治療前
- 叢生を伴う上顎前突症例。下唇の突出感も認められる。
- 治療プラン
- 上顎両側4番・下顎両側4番抜歯
- 使用装置
- マルチブラケット装置(ノーマルタイプ)/歯科矯正用アンカースクリュー
- 治療後
- 叢生が解消され、正常咬合を獲得する事が出来た。歯科矯正用アンカースクリューを用いる事で抜歯スペースを有効に利用できた。歯根が長く治療期間が長くなってしまいましたが、きれいに仕上がった。
- 治療期間
- 3年1か月
- 治療回数
- 37回
- 費用の目安
- 検査診断料 50,000
基本施術料 750,000
保定装置料 50,000
追加装置 歯科矯正用アンカースクリュー 40,000
調整料 5,000 × 治療回数(月1回)
(税別/自費診療) - カテゴリー
- でこぼこ[叢生]/ 出っ歯[上顎前突]/ アンカースクリュー/ 未分類/
- タグ
- 18~39歳/ 抜歯/
患者さんの状態はお一人お一人異なります。また治療内容によっても治療結果は異なります。
副作用・リスクとして、治療中の痛み・歯根吸収・歯肉退縮・治療後の後戻りなどが生じる可能性があります。詳細はこちらをご覧ください。
患者さんご本人の同意を得た写真を使用しております。無断転用は固くお断りいたします。
-
39
出っ歯・でこぼこ/20代女性
CASES






- 主訴
- 歯並び、かみ合わせをきれいにしたい。
- 初診時年齢
- 24歳
- 診断名
- 不正咬合/上顎前突
- 治療前
- 口唇の突出を伴う上顎前突症例。下顎前歯に叢生(でこぼこ)も認められる。
- 治療プラン
- 上顎両側4番・下顎両側4番抜歯
- 使用装置
- マルチブラケット装置(セルフライゲーションブラケット)/ 歯科矯正用アンカースクリュー
- 治療後
- 口唇の突出が改善し、正常咬合を獲得する事が出来た。歯科矯正用アンカースクリューを用いる事で抜歯スペースを有効に利用できた。又、治療期間中に結婚式のため一旦装置撤去した。再開後も定期的に通院していただき、無事動的治療を終える事が出来た。
- 治療期間
- 2年2か月
- 治療回数
- 26回
- 費用の目安
- 検査診断料 50,000
基本施術料 750,000
保定装置料 50,000
追加装置 歯科矯正用アンカースクリュー 40,000
セルフライゲーションブラケット+エステティックワイヤー(ご希望がない場合は不要)100,000
調整料 5,000 × 治療回数(月1回)
(税別/自費診療) - カテゴリー
- でこぼこ[叢生]/ 出っ歯[上顎前突]/ アンカースクリュー/ 未分類/
- タグ
- イーラインの変化/ 18~39歳/ 抜歯/
患者さんの状態はお一人お一人異なります。また治療内容によっても治療結果は異なります。
副作用・リスクとして、治療中の痛み・歯根吸収・歯肉退縮・治療後の後戻りなどが生じる可能性があります。詳細はこちらをご覧ください。
患者さんご本人の同意を得た写真を使用しております。無断転用は固くお断りいたします。
-
38
出っ歯/10代男性
CASES






- 主訴
- 歯並びを治したい。
- 初診時年齢
- 19歳
- 診断名
- 不正咬合/上顎前突
- 治療前
- 口唇の突出を伴う上顎前突症例。上顎左側7番が予後不良歯、下顎両側8番(親知らず)が水平に埋伏している状態。
- 治療プラン
- 上顎両側4番・上顎右側8番・上顎左側7番・下顎両側4番・下顎両側8番抜歯
- 使用装置
- マルチブラケット装置(セルフライゲーションブラケット)/ 歯科矯正用アンカースクリュー
- 治療後
- 口唇の突出が改善し、正常咬合を獲得する事が出来た。歯科矯正用アンカースクリューを用いる事で抜歯スペースを有効に利用できた。
- 治療期間
- 3年5か月
- 治療回数
- 41回
- 費用の目安
- 検査診断料 50,000
基本施術料 750,000
保定装置料 50,000
追加装置 歯科矯正用アンカースクリュー 40,000
セルフライゲーションブラケット+エステティックワイヤー(ご希望がない場合は不要)100,000
調整料 5,000 × 治療回数(月1回)
(税別/自費診療) - カテゴリー
- 出っ歯[上顎前突]/ 口ゴボ/ アンカースクリュー/ 未分類/
- タグ
- イーラインの変化/ 18~39歳/ 抜歯/
患者さんの状態はお一人お一人異なります。また治療内容によっても治療結果は異なります。
副作用・リスクとして、治療中の痛み・歯根吸収・歯肉退縮・治療後の後戻りなどが生じる可能性があります。詳細はこちらをご覧ください。
患者さんご本人の同意を得た写真を使用しております。無断転用は固くお断りいたします。
-
37
受け口/20代女性
CASES






- 主訴
- かみ合わせ、上の歯のでこぼこ、非抜歯を希望。
- 初診時年齢
- 27歳
- 診断名
- 不正咬合/反対咬合
- 治療前
- 下顎前方位を伴う反対咬合症例。
- 治療プラン
- 非抜歯
- 使用装置
- マルチブラケット装置(セルフライゲーションブラケット)/歯科矯正用アンカースクリュー
- 治療後
- 歯科矯正用アンカースクリューや取り外し装置の顎間ゴムを使用した事で非抜歯で受け口が改善された。
- 治療期間
- 1年1か月
- 治療回数
- 13回
- 費用の目安
- 検査診断料 50,000
基本施術料 750,000
保定装置料 50,000
追加装置 歯科矯正用アンカースクリュー 40,000
セルフライゲーションブラケット+エステティックワイヤー(ご希望がない場合は不要)100,000
調整料 5,000 × 治療回数(月1回)
(税別/自費診療) - カテゴリー
- 受け口[下顎前突]/ アンカースクリュー/ 未分類/
- タグ
- 18~39歳/ 非抜歯/
患者さんの状態はお一人お一人異なります。また治療内容によっても治療結果は異なります。
副作用・リスクとして、治療中の痛み・歯根吸収・歯肉退縮・治療後の後戻りなどが生じる可能性があります。詳細はこちらをご覧ください。
患者さんご本人の同意を得た写真を使用しております。無断転用は固くお断りいたします。
-
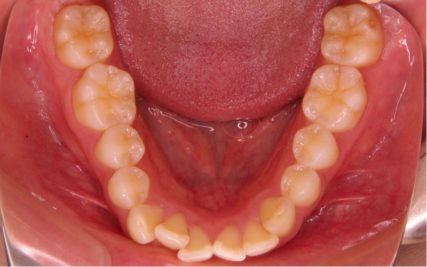
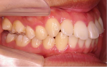
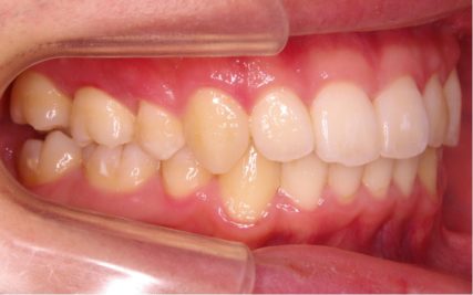
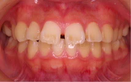
36
出っ歯/10代女性
CASES






- 主訴
- 前歯をくっつけたい。
- 初診時年齢
- 15歳
- 診断名
- 不正咬合/上顎前突
- 治療前
- 正中離開を伴う上顎前突症例。口唇の突出も認められる。
- 治療プラン
- 上顎両側4番・下顎両側4番抜歯
- 使用装置
- マルチブラケット装置(セルフライゲーションブラケット)/ 歯科矯正用アンカースクリュー
- 治療後
- 正中離開が改善され正常咬合を獲得する事が出来た。歯科矯正用アンカースクリューを用いる事で口唇の突出を効率的に解消された。
- 治療期間
- 2年1か月
- 治療回数
- 25回
- 費用の目安
- 検査診断料 50,000
基本施術料 750,000
保定装置料 50,000
追加装置 歯科矯正用アンカースクリュー 40,000
セルフライゲーションブラケット+エステティックワイヤー(ご希望がない場合は不要)100,000
調整料 5,000 × 治療回数(月1回)
(税別/自費診療) - カテゴリー
- 出っ歯[上顎前突]/ すきっ歯[空隙歯列]/ 口ゴボ/ アンカースクリュー/ 未分類/
- タグ
- イーラインの変化/ 中高生/ 抜歯/
患者さんの状態はお一人お一人異なります。また治療内容によっても治療結果は異なります。
副作用・リスクとして、治療中の痛み・歯根吸収・歯肉退縮・治療後の後戻りなどが生じる可能性があります。詳細はこちらをご覧ください。
患者さんご本人の同意を得た写真を使用しております。無断転用は固くお断りいたします。