CASES当院の治療例
症例を検索する
OPEN
-
20
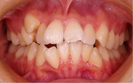
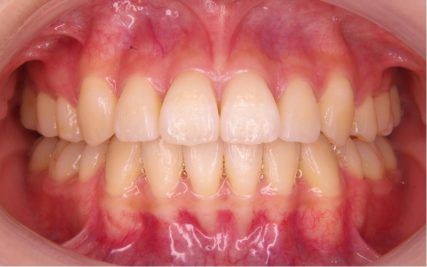
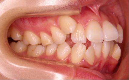
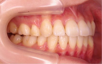
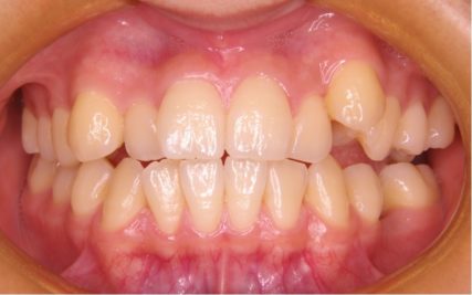
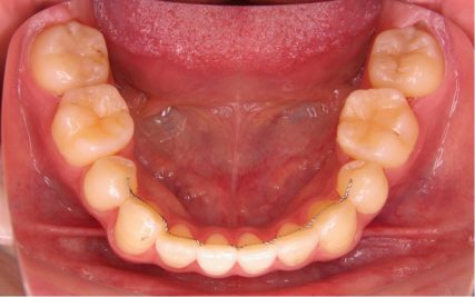
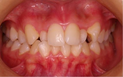
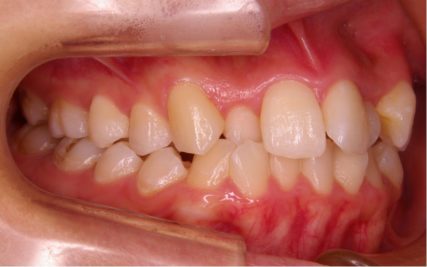
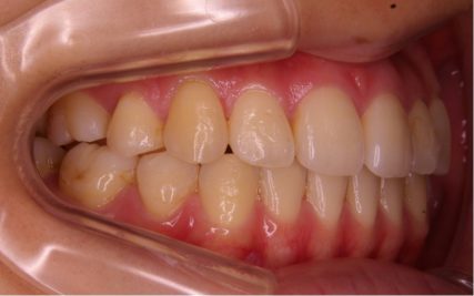
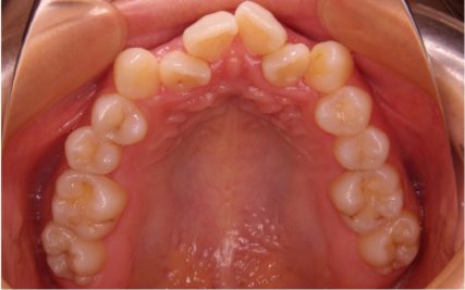
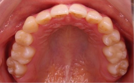
でこぼこ/20代女性
CASES






- 主訴
- 歯並びが悪い。
- 初診時年齢
- 20歳
- 診断名
- 不正咬合/叢生(でこぼこ)
- 治療前
- 上下とも前歯のスペース不足が認められた。歯のサイズと顎の幅とのバランスが不調和な事が原因の1つとして考えられる。
- 治療プラン
- 上顎両側4番・上顎両側8番・下顎両側4番・下顎両側8番抜歯
- 使用装置
- マルチブラケット装置(セルフライゲーションブラケット)/歯科矯正用アンカースクリュー
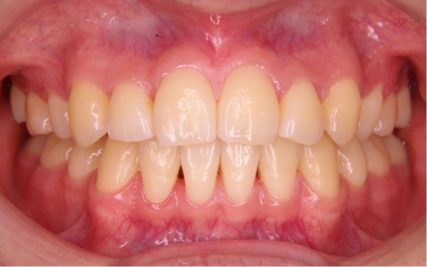
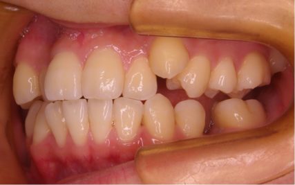
- 治療後
- 前歯部のでこぼこが解消され、正常咬合を獲得する事が出来た。又、歯科矯正用アンカースクリューを用いる事で抜歯スペースを有効に利用できた。
- 治療期間
- 2年4か月
- 治療回数
- 28回
- 費用の目安
- 検査診断料 50,000
基本施術料 750,000
保定装置料 50,000
追加装置 歯科矯正用アンカースクリュー 40,000
セルフライゲーションブラケット+エステティックワイヤー(ご希望がない場合は不要)100,000
調整料 5,000 × 治療回数(月1回)
(税別/自費診療) - カテゴリー
- でこぼこ[叢生]/ アンカースクリュー/ 未分類/
- タグ
- 18~39歳/ 抜歯/
患者さんの状態はお一人お一人異なります。また治療内容によっても治療結果は異なります。
副作用・リスクとして、治療中の痛み・歯根吸収・歯肉退縮・治療後の後戻りなどが生じる可能性があります。詳細はこちらをご覧ください。
患者さんご本人の同意を得た写真を使用しております。無断転用は固くお断りいたします。
-
19
開咬/ 10代男性
CASES






- 主訴
- オープンバイトを治したい。
- 初診時年齢
- 19歳
- 診断名
- 不正咬合/開咬
- 治療前
- 開咬症例。1年半前から開咬になり前歯で咬めない状態になったとの事。
- 治療プラン
- 上顎両側4番・下顎両側4番・下顎右下8番・上顎左側8番抜歯
- 使用装置
- マルチブラケット装置(セルフライゲーションブラケット)/ 歯科矯正用アンカースクリュー
- 治療後
- 歯科矯正用アンカースクリューを用いて上下奥歯を圧下することにより開咬が解消された。
- 治療期間
- 2年4か月
- 治療回数
- 28回
- 費用の目安
- 検査診断料 50,000
基本施術料 750,000
保定装置料 50,000
追加装置 歯科矯正用アンカースクリュー 40,000
セルフライゲーションブラケット+エステティックワイヤー(ご希望がない場合は不要)100,000
調整料 5,000 × 治療回数(月1回)
(税別/自費診療) - カテゴリー
- 前歯が閉じない[開咬]/ アンカースクリュー/ 未分類/
- タグ
- イーラインの変化/ 18~39歳/ 抜歯/
患者さんの状態はお一人お一人異なります。また治療内容によっても治療結果は異なります。
副作用・リスクとして、治療中の痛み・歯根吸収・歯肉退縮・治療後の後戻りなどが生じる可能性があります。詳細はこちらをご覧ください。
患者さんご本人の同意を得た写真を使用しております。無断転用は固くお断りいたします。
-
18
受け口/30代女性
CASES






- 主訴
- かみ合わせ、歯並び
- 初診時年齢
- 38歳
- 診断名
- 不正咬合/下顎前突
- 治療前
- 下あご前方位を伴う下顎前突症例。
- 治療プラン
- 非抜歯
- 使用装置
- マルチブラケット装置(セルフライゲーションブラケット)/歯科矯正用アンカースクリュー
- 治療後
- 受け口が改善された。
- 治療期間
- 2年3か月
- 治療回数
- 27回
- 費用の目安
- 検査診断料 50,000
基本施術料 750,000
保定装置料 50,000
追加装置 歯科矯正用アンカースクリュー 40,000
セルフライゲーションブラケット+エステティックワイヤー(ご希望がない場合は不要)100,000
調整料 5,000 × 治療回数(月1回)
(税別/自費診療) - カテゴリー
- 受け口[下顎前突]/ アンカースクリュー/ 未分類/
- タグ
- 18~39歳/ 非抜歯/
患者さんの状態はお一人お一人異なります。また治療内容によっても治療結果は異なります。
副作用・リスクとして、治療中の痛み・歯根吸収・歯肉退縮・治療後の後戻りなどが生じる可能性があります。詳細はこちらをご覧ください。
患者さんご本人の同意を得た写真を使用しております。無断転用は固くお断りいたします。
-
17
でこぼこ・過蓋咬合/10代女性
CASES






- 主訴
- 歯並びについて。
- 初診時年齢
- 18歳
- 診断名
- 不正咬合/過蓋咬合
- 治療前
- 叢生を伴う過蓋咬合
- 治療プラン
- 上顎両側4番抜歯
- 使用装置
- マルチブラケット装置(セルフライゲーションブラケット)/歯科矯正用アンカースクリュー
- 治療後
- 噛み合わせが浅くなり、前歯部のでこぼこも解消され正常な噛み合わせになった。
- 治療期間
- 2年1か月
- 治療回数
- 25回
- 費用の目安
- 検査診断料 50,000
基本施術料 750,000
保定装置料 50,000
追加装置 歯科矯正用アンカースクリュー 40,000
セルフライゲーションブラケット+エステティックワイヤー(ご希望がない場合は不要) 100,000
調整料 5,000 × 治療回数(月1回)
(税別/自費診療) - カテゴリー
- でこぼこ[叢生]/ かみ合わせが深い[過蓋咬合]/ アンカースクリュー/ 未分類/
- タグ
- 18~39歳/ 抜歯/
患者さんの状態はお一人お一人異なります。また治療内容によっても治療結果は異なります。
副作用・リスクとして、治療中の痛み・歯根吸収・歯肉退縮・治療後の後戻りなどが生じる可能性があります。詳細はこちらをご覧ください。
患者さんご本人の同意を得た写真を使用しております。無断転用は固くお断りいたします。
-
16
でこぼこ・出っ歯/20代女性
CASES






- 主訴
- 出っ歯を治したい。
- 初診時年齢
- 20歳
- 診断名
- 上顎前突/不正咬合
- 治療前
- 口唇の突出を伴う上顎前突症例。6歳臼歯(6番)が3本欠損している。
- 治療プラン
- 上顎両側4番・上顎左側8番・下顎両側5番抜歯
- 使用装置
- マルチブラケット装置(ノーマルタイプ)/歯科矯正用アンカースクリュー
- 治療後
- 口唇の突出が解消され正常咬合を獲得する事が出来た。6番が欠損していたが、親知らずを配列することで咬合構築した。小臼歯抜歯も行ったことで、Eラインも十分に改善された。
- 治療期間
- 3年1か月
- 治療回数
- 37回
- 費用の目安
- 検査診断料 50,000
基本施術料 750,000
保定装置料 50,000
追加装置 歯科矯正用アンカースクリュー 40,000
調整料 5,000 × 治療回数(月1回)
(税別/自費診療) - カテゴリー
- でこぼこ[叢生]/ 出っ歯[上顎前突]/ 口ゴボ/ アンカースクリュー/ 未分類/
- タグ
- イーラインの変化/ 18~39歳/ 抜歯/
患者さんの状態はお一人お一人異なります。また治療内容によっても治療結果は異なります。
副作用・リスクとして、治療中の痛み・歯根吸収・歯肉退縮・治療後の後戻りなどが生じる可能性があります。詳細はこちらをご覧ください。
患者さんご本人の同意を得た写真を使用しております。無断転用は固くお断りいたします。
-
15
でこぼこ/10代男性
CASES






- 主訴
- 他院からの治療継続。
- 初診時年齢
- 16歳
- 診断名
- 不正咬合/叢生(でこぼこ)
- 治療前
- 下顎臼歯が1本欠損。
- 治療プラン
- 上顎両側4番・下顎右側5番抜歯
- 使用装置
- マルチブラケット装置(セルフライゲーションブラケット)/歯科矯正用アンカースクリュー
- 治療後
- 前歯部のでこぼこが解消され、正常咬合を獲得する事が出来た。八重歯の犬歯も歯肉退縮を起こさず配列された。
- 治療期間
- 1年11か月
- 治療回数
- 23回
- 費用の目安
- 検査診断料 50,000
基本施術料 750,000
保定装置料 50,000
追加装置 歯科矯正用アンカースクリュー 40,000
セルフライゲーションブラケット+エステティックワイヤー(ご希望がない場合は不要) 100,000
調整料 5,000 × 治療回数(月1回)
(税別/自費診療) - カテゴリー
- でこぼこ[叢生]/ アンカースクリュー/ 未分類/
- タグ
- 中高生/ 抜歯/
患者さんの状態はお一人お一人異なります。また治療内容によっても治療結果は異なります。
副作用・リスクとして、治療中の痛み・歯根吸収・歯肉退縮・治療後の後戻りなどが生じる可能性があります。詳細はこちらをご覧ください。
患者さんご本人の同意を得た写真を使用しております。無断転用は固くお断りいたします。
-
14
出っ歯・でこぼこ/10代女性
CASES






- 主訴
- 歯並び
- 初診時年齢
- 17歳
- 診断名
- 不正咬合/上顎前突
- 治療前
- 上下前歯のスペース不足、叢生(でこぼこ)
- 治療プラン
- 上顎両側4番・上顎両側8番・下顎両側4番抜歯
- 使用装置
- マルチブラケット装置(セルフライゲーションブラケット)/歯科矯正用アンカースクリュー
- 治療後
- 前歯部のでこぼこが解消され、前歯もきちんと咬みあわせに参加する事が出来た。
- 治療期間
- 1年11か月
- 治療回数
- 23回
- 費用の目安
- 検査診断料 50,000
基本施術料 750,000
保定装置料 50,000
追加装置 セルフライゲーションブラケット+エステティックワイヤー(ご希望がない場合は不要) 100,000
歯科矯正用アンカースクリュー 40,000
調整料 5,000 × 治療回数(月1回)
(税別/自費診療) - カテゴリー
- でこぼこ[叢生]/ 出っ歯[上顎前突]/ アンカースクリュー/ 未分類/
- タグ
- 中高生/ 抜歯/
患者さんの状態はお一人お一人異なります。また治療内容によっても治療結果は異なります。
副作用・リスクとして、治療中の痛み・歯根吸収・歯肉退縮・治療後の後戻りなどが生じる可能性があります。詳細はこちらをご覧ください。
患者さんご本人の同意を得た写真を使用しております。無断転用は固くお断りいたします。
-
13
受け口/30代男性
CASES






- 主訴
- 噛み合わせを治したい。
- 初診時年齢
- 39歳
- 診断名
- 不正咬合/下顎前突
- 治療前
- 下顎前方位を伴う反対咬合症例。
- 治療プラン
- 非抜歯
- 使用装置
- マルチブラケット装置(セルフライゲーションブラケット)
- 治療後
- 取り外し装置の顎間ゴムを使用した事で非抜歯で受け口が改善された。
- 治療期間
- 2年10か月
- 治療回数
- 34回
- 費用の目安
- 検査診断料 50,000
基本施術料 750,000
保定装置料 50,000
追加装置 セルフライゲーションブラケット+エステティックワイヤー(ご希望がない場合は不要) 100,000
調整料 5,000 × 治療回数(月1回)
(税別/自費診療) - カテゴリー
- 受け口[下顎前突]/ 未分類/
- タグ
- イーラインの変化/ 18~39歳/ 非抜歯/
患者さんの状態はお一人お一人異なります。また治療内容によっても治療結果は異なります。
副作用・リスクとして、治療中の痛み・歯根吸収・歯肉退縮・治療後の後戻りなどが生じる可能性があります。詳細はこちらをご覧ください。
患者さんご本人の同意を得た写真を使用しております。無断転用は固くお断りいたします。
-
12
出っ歯/20代女性
CASES






- 主訴
- 上の歯の嚙み合わせが深い。
- 初診時年齢
- 24歳
- 診断名
- 上下顎前突/不正咬合
- 治療前
- 上下顎前突症例。口唇の突出も認められる。
- 治療プラン
- 上顎両側4番・下顎両側4番・下顎右側8番抜歯
- 使用装置
- マルチブラケット装置(セルフライゲーションブラケット)/ 歯科矯正用アンカースクリュー
- 治療後
- 口元も閉じやすくなり正常咬合を獲得する事が出来た。
- 治療期間
- 1年11か月
- 治療回数
- 23回
- 費用の目安
- 検査診断料 50,000
基本施術料 750,000
保定装置料 50,000
追加装置 セルフライゲーションブラケット+エステティックワイヤー(ご希望がない場合は不要)100,000
歯科矯正用アンカースクリュー 40,000
調整料 5,000 × 治療回数(月1回)
(税別/自費診療) - カテゴリー
- 出っ歯[上顎前突]/ 口ゴボ/ アンカースクリュー/ 未分類/
- タグ
- イーラインの変化/ 18~39歳/ 抜歯/
患者さんの状態はお一人お一人異なります。また治療内容によっても治療結果は異なります。
副作用・リスクとして、治療中の痛み・歯根吸収・歯肉退縮・治療後の後戻りなどが生じる可能性があります。詳細はこちらをご覧ください。
患者さんご本人の同意を得た写真を使用しております。無断転用は固くお断りいたします。
-
11
でこぼこ/20代女性
CASES






- 主訴
- 前歯あたりの歯並びが悪いので治したい。
- 初診時年齢
- 20歳
- 診断名
- 不正咬合/叢生(でこぼこ)
- 治療前
- 上下前歯部のスペース不足が認められる。
- 治療プラン
- 上顎両側4番・下顎右側5番・下顎左側4番抜歯
- 使用装置
- マルチブラケット装置(セルフライゲーションブラケット)/歯科矯正用アンカースクリュー
- 治療後
- 前歯部のでこぼこが解消され、正常咬合を獲得する事が出来た。
- 治療期間
- 2年5か月
- 治療回数
- 29回
- 費用の目安
- 検査診断料 50,000
基本施術料 750,000
保定装置料 50,000
追加装置 歯科矯正用アンカースクリュー 40,000
セルフライゲーションブラケット+エステティックワイヤー(ご希望がない場合は不要)100,000
調整料 5,000 × 治療回数(月1回)
(税別/自費診療) - カテゴリー
- でこぼこ[叢生]/ アンカースクリュー/ 未分類/
- タグ
- 18~39歳/ 抜歯/
患者さんの状態はお一人お一人異なります。また治療内容によっても治療結果は異なります。
副作用・リスクとして、治療中の痛み・歯根吸収・歯肉退縮・治療後の後戻りなどが生じる可能性があります。詳細はこちらをご覧ください。
患者さんご本人の同意を得た写真を使用しております。無断転用は固くお断りいたします。