CASES当院の治療例
検索条件
前歯が閉じない[開咬] 4件
条件を変更する
OPEN
-
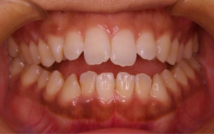
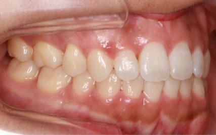
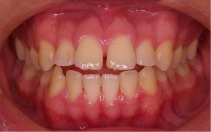
66
開咬/ 20代女性
CASES






- 主訴
- 開咬を治したい
- 初診時年齢
- 25歳
- 診断名
- 不正咬合/開咬
- 治療前
- ロングフェイスを伴う開咬症例。
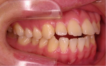
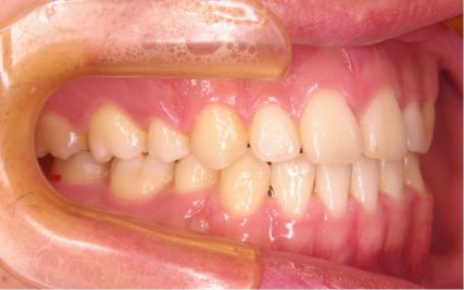
- 治療プラン
- 上顎両側5番・下顎両側5番・下顎右下8番・上顎左側8番抜歯
- 使用装置
- マルチブラケット装置(セルフライゲーションブラケット)/ 歯科矯正用アンカースクリュー
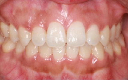
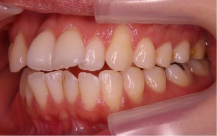
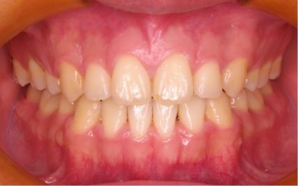
- 治療後
- 前歯部が咬み合い、正常咬合を獲得する事が出来た。オトガイ筋の過緊張も緩和され口が閉じやすくなった。
本症例は上下顎臼歯部にアンカースクリューを埋入し、積極的に下顎のオートローテーションを図ったことで、ロングフェイスが解消された。 - 治療期間
- 2年6か月
- 治療回数
- 30回
- 費用の目安
- 検査診断料 50,000
基本施術料 750,000
保定装置料 50,000
追加装置 歯科矯正用アンカースクリュー 80,000
セルフライゲーションブラケット+エステティックワイヤー(ご希望がない場合は不要)100,000
調整料 5,000 × 治療回数(月1回)
(税別/自費診療) - カテゴリー
- でこぼこ[叢生]/ 前歯が閉じない[開咬]/ 口ゴボ/ アンカースクリュー/
- タグ
- イーラインの変化/ 18~39歳/ 抜歯/
患者さんの状態はお一人お一人異なります。また治療内容によっても治療結果は異なります。
副作用・リスクとして、治療中の痛み・歯根吸収・歯肉退縮・治療後の後戻りなどが生じる可能性があります。詳細はこちらをご覧ください。
患者さんご本人の同意を得た写真を使用しております。無断転用は固くお断りいたします。
-
61
出っ歯・でこぼこ/40代女性
CASES






- 主訴
- 歯並び、出っ歯、偏頭痛、最小限の抜歯数にしてほしい。
- 初診時年齢
- 42歳
- 診断名
- 不正咬合/上顎前突
- 治療前
- 開咬を伴う上顎前突症例。
- 治療プラン
- 上顎両側4番・下顎両側4番抜歯
- 使用装置
- マルチブラケット装置(ノーマルタイプ)/歯科矯正用アンカースクリュー
- 治療後
- 歯科矯正用アンカースクリューを用いて上下奥歯を圧下することにより開咬が解消され、正常咬合を獲得する事が出来た。
- 治療期間
- 2年4か月
- 治療回数
- 28回
- 費用の目安
- 検査診断料 50,000
基本施術料 750,000
保定装置料 50,000
追加装置 歯科矯正用アンカースクリュー 40,000
調整料 5,000 × 治療回数(月1回)
(税別/自費診療) - カテゴリー
- でこぼこ[叢生]/ 出っ歯[上顎前突]/ 前歯が閉じない[開咬]/ アンカースクリュー/
- タグ
- 40歳~/ 抜歯/
患者さんの状態はお一人お一人異なります。また治療内容によっても治療結果は異なります。
副作用・リスクとして、治療中の痛み・歯根吸収・歯肉退縮・治療後の後戻りなどが生じる可能性があります。詳細はこちらをご覧ください。
患者さんご本人の同意を得た写真を使用しております。無断転用は固くお断りいたします。
-
21
出っ歯・開咬/20代女性
CASES






- 主訴
- 出っ歯、歯並びをよくしたい。
- 初診時年齢
- 27歳
- 診断名
- 不正咬合/上顎前突
- 治療前
- 開咬を伴う上顎前突症例。
- 治療プラン
- 上顎両側4番・上顎両側8番・下顎両側4番・下顎左側8番抜歯
- 使用装置
- マルチブラケット装置(セルフライゲーションブラケット)/ 歯科矯正用アンカースクリュー
- 治療後
- 口唇の突出が改善し、正常咬合を獲得する事が出来た。オトガイ筋の過緊張も緩和され口が閉じやすくなった。
- 治療期間
- 3年1か月
- 治療回数
- 37回
- 費用の目安
- 検査診断料 50,000
基本施術料 750,000
保定装置料 50,000
追加装置 歯科矯正用アンカースクリュー 40,000
セルフライゲーションブラケット+エステティックワイヤー(ご希望がない場合は不要)100,000
調整料 5,000 × 治療回数(月1回)
(税別/自費診療) - カテゴリー
- 出っ歯[上顎前突]/ 前歯が閉じない[開咬]/ 口ゴボ/ アンカースクリュー/ 未分類/
- タグ
- イーラインの変化/ 18~39歳/ 抜歯/
患者さんの状態はお一人お一人異なります。また治療内容によっても治療結果は異なります。
副作用・リスクとして、治療中の痛み・歯根吸収・歯肉退縮・治療後の後戻りなどが生じる可能性があります。詳細はこちらをご覧ください。
患者さんご本人の同意を得た写真を使用しております。無断転用は固くお断りいたします。
-
19
開咬/ 10代男性
CASES






- 主訴
- オープンバイトを治したい。
- 初診時年齢
- 19歳
- 診断名
- 不正咬合/開咬
- 治療前
- 開咬症例。1年半前から開咬になり前歯で咬めない状態になったとの事。
- 治療プラン
- 上顎両側4番・下顎両側4番・下顎右下8番・上顎左側8番抜歯
- 使用装置
- マルチブラケット装置(セルフライゲーションブラケット)/ 歯科矯正用アンカースクリュー
- 治療後
- 歯科矯正用アンカースクリューを用いて上下奥歯を圧下することにより開咬が解消された。
- 治療期間
- 2年4か月
- 治療回数
- 28回
- 費用の目安
- 検査診断料 50,000
基本施術料 750,000
保定装置料 50,000
追加装置 歯科矯正用アンカースクリュー 40,000
セルフライゲーションブラケット+エステティックワイヤー(ご希望がない場合は不要)100,000
調整料 5,000 × 治療回数(月1回)
(税別/自費診療) - カテゴリー
- 前歯が閉じない[開咬]/ アンカースクリュー/ 未分類/
- タグ
- イーラインの変化/ 18~39歳/ 抜歯/
患者さんの状態はお一人お一人異なります。また治療内容によっても治療結果は異なります。
副作用・リスクとして、治療中の痛み・歯根吸収・歯肉退縮・治療後の後戻りなどが生じる可能性があります。詳細はこちらをご覧ください。
患者さんご本人の同意を得た写真を使用しております。無断転用は固くお断りいたします。