CASES当院の治療例
検索条件
出っ歯[上顎前突] 41件
条件を変更する
OPEN
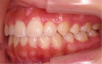
-
21
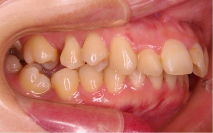
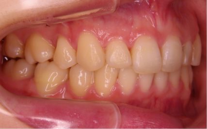
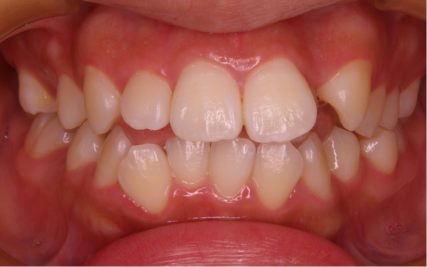
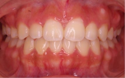
出っ歯・開咬/20代女性
CASES






- 主訴
- 出っ歯、歯並びをよくしたい。
- 初診時年齢
- 27歳
- 診断名
- 不正咬合/上顎前突
- 治療前
- 開咬を伴う上顎前突症例。
- 治療プラン
- 上顎両側4番・上顎両側8番・下顎両側4番・下顎左側8番抜歯
- 使用装置
- マルチブラケット装置(セルフライゲーションブラケット)/ 歯科矯正用アンカースクリュー
- 治療後
- 口唇の突出が改善し、正常咬合を獲得する事が出来た。オトガイ筋の過緊張も緩和され口が閉じやすくなった。
- 治療期間
- 3年1か月
- 治療回数
- 37回
- 費用の目安
- 検査診断料 50,000
基本施術料 750,000
保定装置料 50,000
追加装置 歯科矯正用アンカースクリュー 40,000
セルフライゲーションブラケット+エステティックワイヤー(ご希望がない場合は不要)100,000
調整料 5,000 × 治療回数(月1回)
(税別/自費診療) - カテゴリー
- 出っ歯[上顎前突]/ 前歯が閉じない[開咬]/ 口ゴボ/ アンカースクリュー/ 未分類/
- タグ
- イーラインの変化/ 18~39歳/ 抜歯/
患者さんの状態はお一人お一人異なります。また治療内容によっても治療結果は異なります。
副作用・リスクとして、治療中の痛み・歯根吸収・歯肉退縮・治療後の後戻りなどが生じる可能性があります。詳細はこちらをご覧ください。
患者さんご本人の同意を得た写真を使用しております。無断転用は固くお断りいたします。
-
16
でこぼこ・出っ歯/20代女性
CASES






- 主訴
- 出っ歯を治したい。
- 初診時年齢
- 20歳
- 診断名
- 上顎前突/不正咬合
- 治療前
- 口唇の突出を伴う上顎前突症例。6歳臼歯(6番)が3本欠損している。
- 治療プラン
- 上顎両側4番・上顎左側8番・下顎両側5番抜歯
- 使用装置
- マルチブラケット装置(ノーマルタイプ)/歯科矯正用アンカースクリュー
- 治療後
- 口唇の突出が解消され正常咬合を獲得する事が出来た。6番が欠損していたが、親知らずを配列することで咬合構築した。小臼歯抜歯も行ったことで、Eラインも十分に改善された。
- 治療期間
- 3年1か月
- 治療回数
- 37回
- 費用の目安
- 検査診断料 50,000
基本施術料 750,000
保定装置料 50,000
追加装置 歯科矯正用アンカースクリュー 40,000
調整料 5,000 × 治療回数(月1回)
(税別/自費診療) - カテゴリー
- でこぼこ[叢生]/ 出っ歯[上顎前突]/ 口ゴボ/ アンカースクリュー/ 未分類/
- タグ
- イーラインの変化/ 18~39歳/ 抜歯/
患者さんの状態はお一人お一人異なります。また治療内容によっても治療結果は異なります。
副作用・リスクとして、治療中の痛み・歯根吸収・歯肉退縮・治療後の後戻りなどが生じる可能性があります。詳細はこちらをご覧ください。
患者さんご本人の同意を得た写真を使用しております。無断転用は固くお断りいたします。
-
14
出っ歯・でこぼこ/10代女性
CASES






- 主訴
- 歯並び
- 初診時年齢
- 17歳
- 診断名
- 不正咬合/上顎前突
- 治療前
- 上下前歯のスペース不足、叢生(でこぼこ)
- 治療プラン
- 上顎両側4番・上顎両側8番・下顎両側4番抜歯
- 使用装置
- マルチブラケット装置(セルフライゲーションブラケット)/歯科矯正用アンカースクリュー
- 治療後
- 前歯部のでこぼこが解消され、前歯もきちんと咬みあわせに参加する事が出来た。
- 治療期間
- 1年11か月
- 治療回数
- 23回
- 費用の目安
- 検査診断料 50,000
基本施術料 750,000
保定装置料 50,000
追加装置 セルフライゲーションブラケット+エステティックワイヤー(ご希望がない場合は不要) 100,000
歯科矯正用アンカースクリュー 40,000
調整料 5,000 × 治療回数(月1回)
(税別/自費診療) - カテゴリー
- でこぼこ[叢生]/ 出っ歯[上顎前突]/ アンカースクリュー/ 未分類/
- タグ
- 中高生/ 抜歯/
患者さんの状態はお一人お一人異なります。また治療内容によっても治療結果は異なります。
副作用・リスクとして、治療中の痛み・歯根吸収・歯肉退縮・治療後の後戻りなどが生じる可能性があります。詳細はこちらをご覧ください。
患者さんご本人の同意を得た写真を使用しております。無断転用は固くお断りいたします。
-
12
出っ歯/20代女性
CASES






- 主訴
- 上の歯の嚙み合わせが深い。
- 初診時年齢
- 24歳
- 診断名
- 上下顎前突/不正咬合
- 治療前
- 上下顎前突症例。口唇の突出も認められる。
- 治療プラン
- 上顎両側4番・下顎両側4番・下顎右側8番抜歯
- 使用装置
- マルチブラケット装置(セルフライゲーションブラケット)/ 歯科矯正用アンカースクリュー
- 治療後
- 口元も閉じやすくなり正常咬合を獲得する事が出来た。
- 治療期間
- 1年11か月
- 治療回数
- 23回
- 費用の目安
- 検査診断料 50,000
基本施術料 750,000
保定装置料 50,000
追加装置 セルフライゲーションブラケット+エステティックワイヤー(ご希望がない場合は不要)100,000
歯科矯正用アンカースクリュー 40,000
調整料 5,000 × 治療回数(月1回)
(税別/自費診療) - カテゴリー
- 出っ歯[上顎前突]/ 口ゴボ/ アンカースクリュー/ 未分類/
- タグ
- イーラインの変化/ 18~39歳/ 抜歯/
患者さんの状態はお一人お一人異なります。また治療内容によっても治療結果は異なります。
副作用・リスクとして、治療中の痛み・歯根吸収・歯肉退縮・治療後の後戻りなどが生じる可能性があります。詳細はこちらをご覧ください。
患者さんご本人の同意を得た写真を使用しております。無断転用は固くお断りいたします。
-
10
出っ歯/10代女性
CASES






- 主訴
- 出っ歯を治したい。
- 初診時年齢
- 16歳
- 診断名
- 不正咬合/上顎前突
- 治療前
- 口唇の突出と上下とも前歯のスペース不足。
- 治療プラン
- 上顎両側4番・下顎両側4番抜歯
- 使用装置
- マルチブラケット装置(セルフライゲーションブラケット)/歯科矯正用アンカースクリュー
- 治療後
- 口元も閉じやすくなり、正常咬合を獲得する事が出来た。Eラインも改善された。
- 治療期間
- 2年2か月
- 治療回数
- 26回
- 費用の目安
- 検査診断料 50,000
基本施術料 750,000
保定装置料 50,000
追加装置 歯科矯正用アンカースクリュー 40,000
セルフライゲーションブラケット+エステティックワイヤー(ご希望がない場合は不要)100,000
調整料 5,000 × 治療回数(月1回)
(税別/自費診療) - カテゴリー
- 出っ歯[上顎前突]/ 口ゴボ/ アンカースクリュー/ 未分類/
- タグ
- イーラインの変化/ 中高生/ 抜歯/
患者さんの状態はお一人お一人異なります。また治療内容によっても治療結果は異なります。
副作用・リスクとして、治療中の痛み・歯根吸収・歯肉退縮・治療後の後戻りなどが生じる可能性があります。詳細はこちらをご覧ください。
患者さんご本人の同意を得た写真を使用しております。無断転用は固くお断りいたします。
-
7
出っ歯・でこぼこ/20代女性
CASES






- 主訴
- 歯がガタガタ
- 初診時年齢
- 23歳
- 診断名
- 不正咬合/上顎前突
- 治療前
- 上下とも前歯のスペース不足。
- 治療プラン
- 上顎両側4番・下顎両側4番抜歯
- 使用装置
- マルチブラケット装置(セルフライゲーションブラケット)/歯科矯正用アンカースクリュー
- 治療後
- 前歯部のでこぼこが解消され、正常咬合を獲得する事が出来た。
ガミースマイルも初診時と比較すると改善された。 - 治療期間
- 2年
- 治療回数
- 24回
- 費用の目安
- 検査診断料 50,000
基本施術料 750,000
保定装置料 50,000
追加装置 歯科矯正用アンカースクリュー 40,000
セルフライゲーションブラケット(ご希望がない場合は不要)100,000
調整料 5,000 × 治療回数(月1回)
(税別/自費診療) - カテゴリー
- でこぼこ[叢生]/ 出っ歯[上顎前突]/ 口ゴボ/ ガミースマイル/ アンカースクリュー/ 未分類/
- タグ
- イーラインの変化/ 18~39歳/ 抜歯/
患者さんの状態はお一人お一人異なります。また治療内容によっても治療結果は異なります。
副作用・リスクとして、治療中の痛み・歯根吸収・歯肉退縮・治療後の後戻りなどが生じる可能性があります。詳細はこちらをご覧ください。
患者さんご本人の同意を得た写真を使用しております。無断転用は固くお断りいたします。
-
6
出っ歯・でこぼこ/20代女性
CASES






- 主訴
- 歯並び、かみ合わせを治したい。
- 初診時年齢
- 22歳
- 診断名
- 上顎前突
- 治療前
- 叢生を伴う上顎前突症例。口唇の突出も認められる。
- 治療プラン
- 上顎両側4番・上顎両側8番・下顎両側4番抜歯
- 使用装置
- マルチブラケット装置(ノーマルタイプ)/歯科矯正用アンカースクリュー
- 治療後
- 抜歯のご都合などで治療期間が長くなってしまったが、口元も閉じやすくなり正常咬合を獲得する事が出来た。
- 治療期間
- 3年10か月
- 治療回数
- 46回
- 費用の目安
- 検査診断料 50,000
基本施術料 750,000
保定装置料 50,000
追加装置 歯科矯正用アンカースクリュー 40,000
調整料 5,000 × 治療回数(月1回)
(税別/自費診療) - カテゴリー
- でこぼこ[叢生]/ 出っ歯[上顎前突]/ 口ゴボ/ アンカースクリュー/ 未分類/
- タグ
- イーラインの変化/ 18~39歳/ 抜歯/
患者さんの状態はお一人お一人異なります。また治療内容によっても治療結果は異なります。
副作用・リスクとして、治療中の痛み・歯根吸収・歯肉退縮・治療後の後戻りなどが生じる可能性があります。詳細はこちらをご覧ください。
患者さんご本人の同意を得た写真を使用しております。無断転用は固くお断りいたします。
-
4
出っ歯/20代女性
CASES






- 主訴
- 歯並びを治したい。笑う時に歯茎が出るのを治したい。
- 初診時年齢
- 24歳
- 診断名
- 不正咬合/上顎前突
- 治療前
- ガミースマイルを伴う上顎前突症例。口唇の突出も認められる。
- 治療プラン
- 上顎右側6番・上顎左側4番・上顎左側8番・下顎両側5番・下顎左側8番抜歯
- 使用装置
- マルチブラケット装置(セルフライゲーションブラケット)/歯科矯正用アンカースクリュー
- 治療後
- 口元も閉じやすくなり、正常咬合を獲得する事が出来た。ガミースマイルも緩和された。
- 治療期間
- 3年
- 治療回数
- 36回
- 費用の目安
- 検査診断料 50,000
基本施術料 750,000
保定装置料 50,000
追加装置 歯科矯正用アンカースクリュー 40,000
セルフライゲーションブラケット+エステティックワイヤー(ご希望がない場合は不要)100,000
調整料 5,000 × 治療回数(月1回)
(税別/自費診療) - カテゴリー
- 出っ歯[上顎前突]/ 口ゴボ/ ガミースマイル/ アンカースクリュー/ 未分類/
- タグ
- イーラインの変化/ 18~39歳/ 抜歯/
患者さんの状態はお一人お一人異なります。また治療内容によっても治療結果は異なります。
副作用・リスクとして、治療中の痛み・歯根吸収・歯肉退縮・治療後の後戻りなどが生じる可能性があります。詳細はこちらをご覧ください。
患者さんご本人の同意を得た写真を使用しております。無断転用は固くお断りいたします。
-
3
出っ歯・でこぼこ/10代女性
CASES






- 主訴
- 矯正をしたい。
- 初診時年齢
- 18歳
- 診断名
- 不正咬合/上顎前突
- 治療前
- 上顎前突症例。口唇の突出も認められる。
- 治療プラン
- 上顎両側4番・下顎両側5番抜歯
- 使用装置
- マルチブラケット装置(セルフライゲーションブラケット)/歯科矯正用アンカースクリュー
- 治療後
- 口元も閉じやすくなり、正常咬合を獲得する事が出来た。口唇、舌の筋力トレーニングを継続中。
- 治療期間
- 2年5か月
- 治療回数
- 29回
- 費用の目安
- 検査診断料 50,000
基本施術料 750,000
保定装置料 50,000
追加装置 歯科矯正用アンカースクリュー 40,000
セルフライゲーションブラケット+エステティックワイヤー(ご希望がない場合は不要)100,000
調整料 5,000 × 治療回数(月1回)
(税別/自費診療) - カテゴリー
- でこぼこ[叢生]/ 出っ歯[上顎前突]/ 口ゴボ/ アンカースクリュー/ 未分類/
- タグ
- イーラインの変化/ 18~39歳/ 抜歯/
患者さんの状態はお一人お一人異なります。また治療内容によっても治療結果は異なります。
副作用・リスクとして、治療中の痛み・歯根吸収・歯肉退縮・治療後の後戻りなどが生じる可能性があります。詳細はこちらをご覧ください。
患者さんご本人の同意を得た写真を使用しております。無断転用は固くお断りいたします。
-
2
でこぼこ・過蓋咬合/20代女性
CASES






- 主訴
- 歯並びをキレイにしたい。
- 初診時年齢
- 24歳
- 診断名
- 不正咬合/叢生(でこぼこ)
- 治療前
- 叢生を伴う過蓋咬合症例。
- 治療プラン
- 上顎両側4番・上顎両側8番・下顎右側5番・下顎左側4番・下顎両側8番抜歯
- 使用装置
- マルチブラケット装置(セルフライゲーションブラケット)/ 歯科矯正用アンカースクリュー
- 治療後
- かみ合わせも浅くなり、前歯部のでこぼこも解消された。
- 治療期間
- 3年7か月
- 治療回数
- 43回
- 費用の目安
- 検査診断料 50,000
基本施術料 750,000
保定装置料 50,000
追加装置 歯科矯正用アンカースクリュー 40,000
セルフライゲーションブラケット+エステティックワイヤー(ご希望がない場合は不要)100,000
調整料 5,000 × 治療回数(月1回)
(税別/自費診療) - カテゴリー
- でこぼこ[叢生]/ 出っ歯[上顎前突]/ かみ合わせが深い[過蓋咬合]/ 口ゴボ/ アンカースクリュー/ 未分類/
- タグ
- イーラインの変化/ 18~39歳/ 抜歯/
患者さんの状態はお一人お一人異なります。また治療内容によっても治療結果は異なります。
副作用・リスクとして、治療中の痛み・歯根吸収・歯肉退縮・治療後の後戻りなどが生じる可能性があります。詳細はこちらをご覧ください。
患者さんご本人の同意を得た写真を使用しております。無断転用は固くお断りいたします。