CASES当院の治療例
症例を検索する
OPEN
-
70
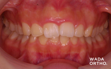
出っ歯/10代女性
CASES






- 主訴
- ガミースマイル、前歯の歯並び、なるべく最小限の抜歯数希望
- 初診時年齢
- 18歳
- 診断名
- 不正咬合/上顎前突
- 治療前
- 口唇の突出を伴う上顎前突症例。ガミースマイルも認められる。
- 治療プラン
- 上顎両側4番抜歯
- 使用装置
- マルチブラケット装置(セルフライゲーションブラケット)/歯科矯正用アンカースクリュー
- 治療後
- 最小限の抜歯数をご希望され、口唇の突出度も軽度であったため、上顎小臼歯2本の抜歯による治療を行った。ガミースマイルが改善され、かみ合わせの深さも改善することができた。
- 治療期間
- 2年1か月
- 治療回数
- 25回
- 費用の目安
- 検査診断料 50,000
基本施術料 750,000
保定装置料 50,000
追加装置 歯科矯正用アンカースクリュー 40,000
セルフライゲーションブラケット+エステティックワイヤー(ご希望がない場合は不要)100,000
調整料 5,000 × 治療回数(月1回)
(税別/自費診療) - カテゴリー
- でこぼこ[叢生]/ 出っ歯[上顎前突]/ 口ゴボ/ ガミースマイル/ アンカースクリュー/ 未分類/
- タグ
- イーラインの変化/ 18~39歳/ 抜歯/
患者さんの状態はお一人お一人異なります。また治療内容によっても治療結果は異なります。
副作用・リスクとして、治療中の痛み・歯根吸収・歯肉退縮・治療後の後戻りなどが生じる可能性があります。詳細はこちらをご覧ください。
患者さんご本人の同意を得た写真を使用しております。無断転用は固くお断りいたします。
-
69
出っ歯/20代女性
CASES






- 主訴
- 上あご前突、下あご前突、ガミースマイル、Eラインが欲しい。
- 初診時年齢
- 25歳
- 診断名
- 不正咬合/上下顎前突
- 治療前
- ガミースマイルを伴う上下顎前突症例。口唇の突出も認められる。
- 治療プラン
- 上顎両側4番・下顎両側4番抜歯
- 使用装置
- マルチブラケット装置(セルフライゲーションブラケット)/歯科矯正用アンカースクリュー
- 治療後
- 口元も閉じやすくなり、正常咬合を獲得する事が出来た。Eラインとガミースマイルも改善された。
- 治療期間
- 2年10か月
- 治療回数
- 34回
- 費用の目安
- 検査診断料 50,000
基本施術料 750,000
保定装置料 50,000
追加装置 歯科矯正用アンカースクリュー 40,000
セルフライゲーションブラケット+エステティックワイヤー(ご希望がない場合は不要)100,000
調整料 5,000 × 治療回数(月1回)
(税別/自費診療) - カテゴリー
- でこぼこ[叢生]/ 出っ歯[上顎前突]/ 口ゴボ/ ガミースマイル/ アンカースクリュー/ 未分類/
- タグ
- イーラインの変化/ 18~39歳/ 抜歯/
患者さんの状態はお一人お一人異なります。また治療内容によっても治療結果は異なります。
副作用・リスクとして、治療中の痛み・歯根吸収・歯肉退縮・治療後の後戻りなどが生じる可能性があります。詳細はこちらをご覧ください。
患者さんご本人の同意を得た写真を使用しております。無断転用は固くお断りいたします。
-
68
出っ歯・でこぼこ/30代女性
CASES






- 主訴
- 口ゴボ、口が閉じにくい、口呼吸を治したい、外科手術はしたくない。
- 初診時年齢
- 31歳
- 診断名
- 不正咬合/上顎前突
- 治療前
- ガミースマイルを伴う上顎前突症例。オトガイ筋の過緊張も認められる。
- 治療プラン
- 上顎両側4番・上顎両側8番・下顎両側4番・下顎両側8番抜歯
- 使用装置
- マルチブラケット装置(セルフライゲーションブラケット)/歯科矯正用アンカースクリュー
- 治療後
- 治療期間が長くなったが、正常咬合を獲得する事が出来た。
ガミースマイルが改善し、オトガイ筋の過緊張も緩和された。
- 治療期間
- 4年8ヶ月
- 治療回数
- 56回
- 費用の目安
- 検査診断料 50,000
基本施術料 750,000
保定装置料 50,000
追加装置 歯科矯正用アンカースクリュー 40,000
セルフライゲーションブラケット+エステティックワイヤー(ご希望がない場合は不要)100,000
調整料 5,000 × 治療回数(月1回)
(税別/自費診療) - カテゴリー
- でこぼこ[叢生]/ 出っ歯[上顎前突]/ 口ゴボ/ ガミースマイル/ アンカースクリュー/ 未分類/
- タグ
- イーラインの変化/ 18~39歳/ 抜歯/
患者さんの状態はお一人お一人異なります。また治療内容によっても治療結果は異なります。
副作用・リスクとして、治療中の痛み・歯根吸収・歯肉退縮・治療後の後戻りなどが生じる可能性があります。詳細はこちらをご覧ください。
患者さんご本人の同意を得た写真を使用しております。無断転用は固くお断りいたします。
-
67
すきっ歯/20代女性
CASES






- 主訴
- 前歯のスペース
- 初診時年齢
- 28歳
- 診断名
- 不正咬合/正中離開
- 治療前
- 口唇の突出を伴う上顎の正中離開(前歯スペース)症例。ガミースマイルも認められる。
- 治療プラン
- 上顎左側4番、上顎両側8番、下顎両側E抜歯
- 使用装置
- マルチブラケット装置(セルフライゲーションブラケット)/ 歯科矯正用アンカースクリュー
- 治療後
- 正中離開が改善され正常咬合を獲得する事が出来た。ガミースマイルも緩和された。
- 治療期間
- 2年3か月
- 治療回数
- 27回
- 費用の目安
- 検査診断料 50,000
基本施術料 750,000
保定装置料 50,000
追加装置 歯科矯正用アンカースクリュー 40,000
セルフライゲーションブラケット+エステティックワイヤー(ご希望がない場合は不要)100,000
調整料 5,000 × 治療回数(月1回)
(税別/自費診療) - カテゴリー
- すきっ歯[空隙歯列]/ ガミースマイル/ アンカースクリュー/
- タグ
- イーラインの変化/ 18~39歳/ 抜歯/
患者さんの状態はお一人お一人異なります。また治療内容によっても治療結果は異なります。
副作用・リスクとして、治療中の痛み・歯根吸収・歯肉退縮・治療後の後戻りなどが生じる可能性があります。詳細はこちらをご覧ください。
患者さんご本人の同意を得た写真を使用しております。無断転用は固くお断りいたします。